본문 바로가기 대메뉴 바로가기

건양대학교병원암센터

설암

정의 및 종류

정의

설암은 혀에 생기는 악성종양으로 전체 두경부암의 약 10~15%를 차지하며, 혀의 해부학적 특성에 의한 조직침투의 용이성과 조기 림프전이에 의해 불량한 예후를 보이는 질환입니다.

설암이 33.1%로 구강암 중 가장 많은 발생 빈도를 나타내고 있습니다. 남성에서 호발하고 50-60대에 많이 발생하는 것으로 알려져 있고 50% 정도가 혀의 중간 1/3 부위의 측면에 발생한다고 보고되고 있습니다.

종류

설암은 구강암 중 가장 빈도가 높으며 평균적으로 75%를 차지하고 있습니다. 설암의 95% 이상은 편평세포암입니다. 드물게 우상암(verrucous carcinoma)이나 소타액선 기원의 종양이 발생하기도 합니다.

위험요인

설암의 위험인자로는 흡연의 영향이 절대적이며 이외에 음주, 바이러스, 방사선이나 자외선, 식습관과 영양결핍, 유전적 감수성 등이 거론되고 있습니다.

일반적 증상

대부분의 환자들은 혀가 부은 듯한 느낌이 있거나 음식물 섭취시 불편감을 호소하는 경우가 많습니다. 임상검사시는 시진과 촉진이 가장 좋은 방법입니다. 혀를 움직여 보게 하여 혀의 운동성을 관찰하고 궤양이 있는지, 증상이 악화되고 있는지, 외이도에 통증이 있지는 않은지, 발음이나 연하시 불편감이 있는지, 구취가 심하지는 않은지 또는 간헐적인 출혈이 있는지 살펴보게 됩니다.

병소는 대부분 혀의 측면이나 밑부분에 발생하며 배면이나 중앙부에는 잘 발생하지 않는데 특히 측면 중앙부나 후방 1/3에 발생하며 혀끝 쪽 발생은 드문 것으로 알려져 있습니다.

암종은 점차적으로 성장하면서 궤양을 형성하고 혀의 움직임이 자유스럽지 못하게 되면서 음식물을 섭취하는데 어려움을 겪게 됩니다.

혀에 발생한 백반증 이미지

[혀에 발생한 백반증]

진단이 필요한 경우

구강암연구소에서 발행한 구강암 진료 지침서에 따르면 다음과 같은 경우에 구강암을 의심해보는 것이 필요하다고 합니다.

  • 3주이상 호전되지 않는 구강내의 궤양
  • 3주이상 지속되는 구강내의 부종
  • 구강점막의 적백색 반점
  • 3주이상 지속되는 연하곤란
  • 6주이상 지속되는 목소리의 변화
  • 한쪽 코의 지속적인 폐쇄현상 및 분비물 분비
  • 치주질환과는 관계없는, 설명할 수 없는 치아의 동요
  • 3주이상 지속되는 경부위 종물
  • 뇌신경 마비증세
  • 안와의 종물

설암의 경우에도 3주이상 호전되지 않는 궤양, 3주이상 지속되는 혀의 부종, 혀점막에 발생한 적백색의 반점, 지속되는 연하곤란, 목소리 변화, 혀 및 주변조직과 관련된 신경의 이상 증상 등이 있는 경우 정확한 진단을 받는 것이 좋습니다.

진단방법

시진, 촉진에 의한 검사

시진

가장 기본적이며 일반적으로 시행되고 있는 설암 검사법입니다. 구강 및 혀의 이상부위를 특별한 처치 없이 육안으로 보는 방법입니다. 혀는 비교적 다른 장기에 비하여 육안 판별이 가능한 부위로 조기 발견이 가능할 수 있는 부위입니다. 그러나 초기증례의 양상이 양성종양과 유사한 경우도 종종 있고 같은 조직 병소라 하더라도 부위나 단계별 임상증상이 다르기 때문에 정확한 임상진단을 내리는 것이 쉬운 일만은 아닙니다.

내시경 검사도 시진 중의 하나로 검사 도중 의심이 가는 부위는 즉시 생검을 시행할 수 있습니다.

촉진

통상 시진과 동시에 행해지는 검사법으로 특별한 처치없이 검사자의 촉감에 의한 검사 방법입니다.

병소를 직접 만져보아 그 경도 및 범위, 주변조직과의 관계 등을 검사하게 됩니다. 경부 림프절의 경우도 영상검사 전 임상적 촉진으로 림프절 전이 유무를 검사합니다.

영상진단법

일반 방사선 검사

파노라마

악골변화를 관찰하기 위하여 시행합니다. 간단하면서도 선명하며 세부관찰이 가능합니다. 진행된 설암의 경우 악골로의 침범도 가능하기 때문에 병소의 침범 여부를 관찰하고 향후 수술, 방사선, 항암약물 치료 전 구강상태 등에 대한 평가를 위해서 기본적으로 시행합니다. 필요한 경우 치근단촬영(periapical view)을 시행하게 됩니다.

흉부 방사선 검사

설암의 폐전이에 대한 평가 및 환자의 기본 건강 상태를 평가하기 위하여 시행합니다. 원격전이의 호발 부위인 폐에 대한 평가를 실시하여 병기 및 예후를 예측하고 치료 방향을 설정하는데 기본적 검사입니다. 편평세포암의 경우 원격전이는 폐(83%)가 가장 많고 골격계(31%), 간(6%)의 순서로 호발하는 것으로 알려져 있습니다.

초음파 검사

경부 림프절 초음파 검사

짧은 초음파를 생체내에 발사하여 그 반사파를 포착, 영상화하는 기법입니다. 설암 환자의 경부 림프절 전이에 대한 평가를 위하여 시행한다.

상복부 초음파 검사

복부 장기로의 전이 여부 및 환자의 전신 건강에 대한 평가를 위하여 시행합니다. 원격전이가 종종 발견되는 간의 평가 및 기본 건강상태를 평가하여 치료의 방향을 결정하는데 기본적 검사입니다.

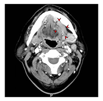
전산화단층촬영법(Computed Tomography, CT)

악골 및 연조직의 진단에 사용합니다. 악성 여부에 대한 영상학적 진단, 침범 범위 및 전이여부 등을 알아보기 위한 검사입니다. 임상적 병기 진단에 자기공명영상(MRI)와 더불어 주로 사용되며 수술 가능여부 및 수술 범위 결정 등에 기본적으로 필요한 검사입니다. 초음파 검사와 함께 생검시 종양으로의 정확한 접근을 위하여 사용되기도 합니다. 혈관과 림프선의 구분, 종양의 경계부 확인 등을 위하여 조영제를 사용합니다

좌측 설암 전산화단층촬영 이미지

[좌측 설암 전산화단층촬영 이미지]

자기공명영상법(MRI)

전산화단층촬영(CT)과 더불어 임상적 병기 결정을 위한 정보를 얻는데 사용합니다. 연조직에 발생한 암종의 경우 자기공명영상이 더 선호되고 있어 설암 환자의 경우 자기공명영상이 필수적이라 할 수 있습니다. 촬영 전 구강 내 보철물은 제거하고 촬영하는 것이 상의 왜곡을 막기 위해 필요합니다.

좌측 설암의 자기공명영상 촬영 이미지

[좌측 설암의 자기공명영상 촬영 이미지]

핵의학 검사법

골스캔(Bone scan)

99mTC를 붙인 인화물을 이용하여 골로 전이된 종양을 찾아내는 방법으로 악성종양의 골전이는 물론 양성 골질환 검사에도 사용합니다. 설암 환자에서도 종양의 골 조기 침윤 가능성에 대한 수술 전 평가 및 원격 골전이 유무에 대한 평가를 위하여 시행하고 있습니다.

양전자방출단층 촬영(Positron Emission Tomography, PET)

양전자방출단층촬영(PET)는 각 장기의 생화학적, 생리적 반응을 정량화하여 진단, 치료방침설정 등에 활용하는 영상기법으로 양전자의 방출 후 나타나는 광자를 검출기를 통해 검출하는 것을 기본원리로 합니다. 구강점막 등에 발생한 악성흑색종에 대한 병기 결정에도 도움이 되는 것으로 알려져 있습니다.

좌측, 우측 설암의 양전자방출단층 촬영 이미지

[좌측, 우측 설암의 양전자방출단층 촬영 이미지]

상부소화관 내시경

통상 구강암을 가진 환자를 평가할 때는 유사한 병소가 다른 부위에 있을 가능성에 대한 검사를 위하여 상부소화관 내시경을 시행하고 필요시 광범위한 부위를 내시경으로 검사(panendoscopy)하게 됩니다.

병리 조직학적 검사

병소는 조직의 현미경학적 검사에 의하여 확진됩니다.

경부림프절을 가진 환자의 경우는 영상 진단과 더불어 세침흡인세포조직검사를 통하여 조직학적 진단을 시행할 수 있습니다.

치료방법

개요

설암의 주요 치료 방법은 수술과 방사선 치료이며 많은 경우 경부 림프절 전이가 관찰되므로 경부 전이에 대한 진단이 필수적입니다.

치료방법

설암치료의 궁극적인 목적은 최소한의 치료 과정을 통하여 형태 및 기능을 보존하면서 암종을 치료하고 재발 또는 다른 암종의 발현을 막는 것에 있다 하겠습니다. 설암의 치료 선택에 영향을 미치는 요소는 환자요소, 종양요소, 치료 담당 의사요소 등이 있을 수 있습니다. 종양요소에는 병소의 위치, 크기, 주변 조직과의 근접정도, 경부림프절의 전이 여부, 병소의 조직병리학적 소견 및 기존에 시행된 치료 등이 있습니다.

혀에 발생한 종양은 같은 병기의 경구개에 발생한 종양보다 림프절 전이를 할 확률이 다소 높은 것으로 알려져 있습니다. 구강내 발생한 편평세포암의 절반 정도는 혀에서 발생하는 것으로 알려져 있으며 처음 내원시 경부 림프절로의 전이가 있는 경우가 30-50% 정도가 된다고 알려져 있습니다.

원발부의 크기가 클수록 림프절 전이의 확률이 높아지게 됩니다.

치료에 영향을 미치는 환자요소로는 환자의 나이, 전신상태, 내성, 치료방법에 대한 적응 및 순응도, 생활습관 등이 있습니다.

설암의 치료에는 외과적 수술법과 방사선 치료법이 주로 사용되며 항암약물 요법도 상황에 따라 선택 될 수 있습니다. 작고 표면에 국한된 종양의 경우는 수술치료와 방사선 치료가 각각 사용이 가능합니다. 따라서 T1 과 T2 병기인 경우는 여러 가지 고려 사항을 검토한 후 수술 또는 방사선 치료 중에서 선택하여 사용하고 있습니다. 선택시 고려할 사항으로는 부작용, 비용, 편이성, 순응도, 장기결과, 위치, 병기, 조직학적 소견 및 림프절 전이 여부 등이 있습니다.

수술적 치료 시 조기 병소의 경우는 구강내로 접근하여 외과적 안전변연을 유지하면서 절제 한 후 봉합을 합니다. 작은 크기의 결손부는 피판을 이용하여 재건하면 그 부피 때문에 오히려 불편감을 유발하는 경우가 많기 때문입니다.

일반적으로 종양수술시 적어도 1cm 이상의 안전변연이 추천되지만 혀에서는 이보다 안전변연을 더 확대해서 수술하는 것이 안전한 것으로 알려져 있습니다. 보다 진행된 병기의 병소에서는 안전변연의 확보가 쉽지 않은 경우가 있게 되고 부분설절제술이나 완전설절제술을 선택하는 경우가 있는데 이렇게 혀를 절제한 후에는 혀의 부피를 고려하여 피판을 선택하여 재건을 하게 됩니다. 병소의 크기가 크거나 후방부에 위치하는 경우는 구강내 접근법으로는 병소의 완전절제가 용이하지 않기 때문에 여러가지 절개법을 이용하여 시야를 확보하게 됩니다.

병기와 진단결과에 따라 경부림프절 절제술시행 여부를 결정하게 됩니다. 병기가 III기 혹은 IV기인 경우는 수술과 방사선의 복합적 치료가 필요하며 항암약물 치료가 방사선 치료와 함께 병행되기도 합니다.

설암의 수술과 대표적인 피판 부위 이미지

[설암의 수술과 대표적인 피판 부위]

설암 절제술 전후의 과정

수술 전날의 준비

수술범위에 따라서 준비하는 과정이 약간씩 차이가 있을 수 있습니다.

통상적으로 재건을 위한 피판의 준비가 필요하지 않은 경우는 수술전 준비가 다른 수술과 큰 차이가 없습니다.

약을 복용하고 계신 경우 담당의와 상의하여 복용 여부를 결정하게 되는데 통상 혈압약은 수술 당일에도 복용하시게 되고 혈압약과 종종 같이 처방되는 아스피린 종류는 수술 1주일 전부터 복용을 중단하는 경우가 대부분입니다. 이러한 약들은 환자분의 상태에 따라서 복용 중단시 부작용을 가져올 수 있으므로 담당의와 상의 후 결정해야 합니다.

금식

전신마취를 해야 하므로 전날 밤 12시(수술 당일 0시)부터 금식을 하시게 됩니다. 이전까지는 일반적인 식사를 하시면 됩니다.

이식 및 수술을 위한 털의 제거와 목욕

수술 범위내의 털과 이식부위의 털을 제거하게 됩니다. 경부림프절 수술을 하는 경우는 귀 주변의 머리털이 수술에 방해가 되는 경우가 종종있어 감염가능성을 낮추고 수술 후 상처의 드레싱을 쉽게 하기 위하여 귀 주변의 머리카락을 짧게 정리하기도 합니다. 이식하는 피판에 따라서 피부이식이 추가적으로 필요한 경우들이 있고 구강내 재건을 하였을 경우에 입안에 털이 자라는 경우가 있을 수 있어 수술 전에 이식부위에 대한 제모를 시행하기도 합니다. 최근에는 면도보다는 제모제를 발라 털을 제거하는 경우가 많습니다.

경부림프절 제거를 같이 하는 경우 수술상처가 목에 생기게 되어 치유전까지 머리를 감거나 샤워 등의 가벼운 목욕을 하는 것이 어려운 경우가 많습니다. 물을 쓰지 않고 머리를 감을 수 있는 샴푸도 나와 있고 상처치유가 어느 정도 진행되면 수술 부위에 물이 닿지 않도록 하는 자세로 씻을 수 있기는 하지만 수술 후 2주 정도는 수술부위의 안정을 위하여 되도록이면 물을 닿지 않도록 하는 것이 유리할 수 있습니다. 따라서 수술 전날 목욕을 하시는 것도 추천되나 감기에 걸리지 않도록 주의하셔야 합니다.

수술일

설암 수술은 보통 짧게는 1-2시간에서 수술에 따라서는 길게는 12시간 이상 걸릴 수도 있는 수술입니다. 환자의 병의 정도, 수술 범위, 재건수술의 종류 등에 따라서 수술 시간에 차이가 있게 됩니다. 통상 재건수술을 동시에 시행하지 않은 경우는 수술 후에는 회복실로 나오시게 되고, 숨을 잘 쉬게 되면 보통은 1~2시간 내외에 입원실로 돌아오게 됩니다.

재건술을 같이 시행받거나 수술 범위가 큰 경우에는 환자분의 상태를 좀 더 면밀히 지켜 볼 수 있는 중환자실에서 1-2일 정도 집중 치료를 받고 병실로 올라오시게 됩니다.

구강 내 상처가 생기게 되고 수술로 인하여 혀의 움직임이 제한되는 경우가 많아 음식물 섭취를 위하여 비위관(콧줄)을 사용하게 됩니다.

수술의 정도와 치유 경과에 따라서 다르기는 하지만 10일-14일 정도면 콧줄을 제거할 수 있습니다. 경우에 따라서는 상처부위가 잘 아물었는지 음식물 섭취시 폐로 넘어가는 것은 없는지 검사를 시행하여 확인한 후에 제거하기도 합니다.

소변줄은 수술 후 체내 수분 대사가 적절한지를 알아보기 위하여 소변 양과 색 등을 측정 관찰하기 위하여, 또 수술 직후 환자분의 거동이 불편한 경우를 고려하여 1-2일 정도 거치하게 됩니다.

수술 후의 회복

수술 후 장운동이 정상화되면 방귀가 나오게 됩니다. 보통은 방귀가 나온 후에 비위관을 거치하여 비위관을 통하여 혹은 입으로 바로 물부터 먹기 시작합니다. 조직 이식을 시행하지 않은 경우에는 혀의 상처 부위 실밥을 7~10일 사이에 완전히 상처가 아문 것을 확인하고 제거하게 되고 조직 이식을 시행한 경우는 이식부위의 상처가 낫는 것을 확인하게 됩니다. 상처 부위의 치유가 정상적이고 혈액 검사 등에 이상이 없으면 퇴원을 준비하게 되는데 조직 이식을 하지 않은 경우는 수술 후 7~10일 정도, 조직 이식을 시행한 경우는 이식한 부위에 따라서 퇴원하기까지 3주 이상의 시간이 필요하기도 합니다.

조직 검사 결과의 확인

혀만 절제된 경우는 수술 후 7일 정도 후에, 악골이 같이 제거된 경우에는 뼈를 처리하는 기간이 있어 10일 정도 후에 수술로 제거한 조직에 대한 자세한 병리 조직검사 결과가 나오게 됩니다. 조직검사 결과에 따라 병기가 최종적으로 결정이 됩니다. 이 병기를 근거로 수술 후의 방사선 치료 혹은 방사선-항암동시요법 등의 추가적인 치료 여부를 결정하게 됩니다.

예방법

조기 발견

  • 암을 예방하지 못했을 경우, 암을 조기 발견하는 것이 진행된 후에 발견하는 것보다 치료가 보다 효과적이라는 것은 너무나 당연한 것입니다. 이와 같이 암이 원격 장기나 주변 조직으로의 침습이 없이 원발부위에 국한되어 있을 때 발견해 내는 것이 조기 발견의 목적입니다.
  • 암을 조기발견 하기 위해 필수적인 것은 조기진단이며 이를 위하여 구강암의 초기 증상 등에 관하여 국민들이 쉽게 이해하고 발견할 수 있도록 정보를 제공하고 알리는 것이 필요하겠습니다.

진단

  • 암을 다루는데 있어서 첫 번째 단계는 정확한 진단을 하는 것입니다. 정확한 진단에는 상세한 임상적 평가와 영상학적, 조직병리학적, 임상병리학적 검사 및 내시경 검사 등이 필요합니다.
  • 금연을 하고 과음을 하지 않습니다.
  • 항상 구강을 청결히 합니다.
  • 자극성 음식물 피합니다. 뜨겁고, 짜고, 매운 음식, 검게 탄 음식을 섭취하지 않도록 합니다.
  • 날카로운 치아, 잘 맞지 않는 틀니 등이 구강 점막을 만성적으로 자극하는 일이 없도록 합니다.
  • 모든 구강병은 초기에 치료받도록 하고 만성적 염증상태가 없도록 하며 점막이 헐어서 10일 이상 지속되는 궤양 등은 초기에 치과를 방문하여 진단 받아야 합니다.
  • 구강 백반증 같은 구강 내 백색 병소 및 홍반증 등 전암 병소가 나타날 때에는 즉시 치료받도록 합니다.
[내용, 사진 출처 : 국가암정보센터 http://www.cancer.go.kr]