본문 바로가기 대메뉴 바로가기

건양대학교병원암센터

식도암

정의 및 종류

정의

식도암이란 식도에 생긴 암을 말합니다. 식도암은 주로 60대 이상의 남자에게서 많이 발생하며, 술, 담배와 밀접한 관련이 있습니다.

종류

식도암은 위치에 따라서 경부식도암, 흉부식도암, 위-식도 연결부위 암으로 나눌 수 있으며, 암의 조직형에 따라 편평상피세포암, 선암, 평활근 육종, 횡문근 육종, 림프종, 흑색종 등으로 나눌 수 있습니다. 우리나라를 비롯한 동아시아 국가들에서는 편평상피세포암이 많으며, 북아메리카나 유럽지역에서는 선암의 발생빈도가 높습니다.

위험요인

개요

식도암은 식도에서 발생한 암으로서 식도의 점막, 점막하층, 근육층 등에서 발생할 수 있으며, 편평상피세포암, 선암, 평활근 육종, 횡문근 육종, 림프종, 흑색종 등 여러 가지의 암이 발생할 수 있습니다. 우리나라에서는 편평상피세포암이 전체 식도암의 95% 이상을 차지하고 있으며, 유럽이나 미국의 경우에는 선암의 발생률이 점차 증가하고 있습니다. 식도암의 정확한 발병 원인은 알려져 있지 않습니다. 하지만 다른 여러 고형암과 마찬가지로 유전적 요인과 환경적 요인의 영향을 받는 여러 단계의 과정을 거쳐 발생할 것으로 생각됩니다.

편평상피세포암의 경우에는 흡연과 술의 섭취와 밀접한 관계가 있습니다. 선암의 경우에는 위-식도 역류와 관련이 깊습니다. 위-식도 역류는 위산이 식도로 역류하는 질환으로 장기적으로 식도점막에 손상을 일으켜 식도염이 발생하게 되어, 세포의 증식을 촉진시키고 원주 세포 화생 (columnar metaplasia)이 일어나게 되는데, 이것을 바렛 식도(Barrett’s esophagus)라고 합니다. 이 바렛 식도는 식도암의 전암성 병변으로 정상인에 비해 식도암의 발병위험이 약 30~40배 증가합니다.

연령, 성별

식도암이 호발하는 지역에서는 비교적 젊은 나이에도 많이 발생하지만 우리나라에서 식도암은 젊은 나이에는 드물고, 나이에 따라 점차 증가하며, 60~70대에 주로 발병합니다. 남성에게 주로 많이 발생되며 암종의 종류 및 지역에 따라 성비에는 차이가 있습니다.

식도암이 많이 발생하는 지역 이미지

[식도암이 많이 발생하는 지역]

음주, 흡연

식도암 중에 특히 편평상피암의 경우에는 술과 밀접한 관련을 가지고 있으며, 독주와 과음이 식도암의 원인이 될 수 있습니다.

흡연(궐련, 시가, 파이프, 씹는 담배 등 포함)은 식도암이 발생할 가능성을 약 5~6배 정도 증가시킵니다. 특히 음주와 흡연을 같이하는 경우에는 음주와 흡연이 암의 발생이 서로 상승작용을 하게 되어 식도암의 위험성이 거의 100배로 증가합니다.

습관

식도암이 많이 발생하는 지역에 대한 조사에 의하면 채소, 과일 등이 부족한 식생활을 하는 사람들에서 식도암이 많이 발생하는 것으로 알려져 있습니다. 뜨거운 (65도 이상) 음료를 자주 마시는 습관은 식도암 위험을 증가시킵니다.

기타 병변

여러 종류의 식도질환이 식도암의 발생과 연관되어 있는 것으로 알려져 있습니다. 그 중에는 위-식도 역류 질환, 철분이나 비타민이 부족하여 구강이나 인두, 식도의 점막에 위축이 오는 플러머-빈슨 증후군 (Plummer-Vinson syndrome), 장기적인 위-식도 역류에 의해 위-식도 접합부의 직상부 식도 점막에 장형 점막으로의 변화를 보이는 바렛 식도(Barrett’s esophagus), 식도 협착, 식도이완불능증, 변지종(Tylosis) 등의 질환이 있습니다. 이 질환이 있다고 해서 모두 식도암이 발병하는 것은 아니나 정기적인 추적관찰이 필요합니다.

폐암, 구강암, 인두암 등에 이환되어 있는 경우 식도암 위험이 증가하며, 양잿물로 인한 식도 손상 및 협착이 있는 경우 식도암 위험이 증가합니다.

일반적 증상

식도는 음식이 지나가는 통로이므로 식도암의 증상은 주로 음식을 삼키기 어렵거나 삼킬 때 발생하는 통증이 주가 됩니다. 하지만 식도는 잘 늘어나는 성질을 가지고 있어 작은 식도암의 경우에는 특별한 증상이 없을 수 있습니다.

증상이 발현된 경우에는 이미 상당히 진행된 경우가 많습니다. 크기가 작은 초기 식도암의 경우에는 아무런 증상이 없는 경우가 많고, 주로 건강 검진 시에 시행하는 내시경 등의 검사에서 우연히 발견되는 경우가 많습니다.

식도암이 점차 진행하여 식도내강이 좁아짐에 따라 연하곤란 즉 음식을 삼키기 어려운 증상이 나타나며 이는 처음에는 고기나 깍두기 같은 고형음식에서부터 시작하여 나중에는 죽이나 미음, 물을 삼키기 어렵게 됩니다. 또는 크기가 큰 음식을 먹을 때 걸리는 느낌이 나거나 앞가슴이나 등쪽에 통증을 느낄 수도 있습니다. 이에 따라 식사하기 불편해지고 식사량도 자연적으로 줄게 되어 심한 체중감소와 영양실조가 동반될 수 있습니다.

식도암이 식도의 내강을 거의 막아서 음식물이 아래로 내려가지 못하게 되면 식사 후에 먹었던 음식물이 다시 입으로 올라오는 증상이 있을 수 있으며, 이와 동반하여 입으로 올라온 음식물이 기도로 흡인되어 기침이나 흡인성 폐렴 등의 증상이 발생할 수 있습니다.

식도암이 진행함에 따라 식도내강을 좁히는 것 외에도 식도주변의 기관(organ)에 암이 침윤함에 따라 여러 가지 증상이 발현될 수 있습니다. 식도암이 목소리를 내는 성대를 지배하는 되돌이후두신경을 침범하게 되면 성대 마비가 생겨 목이 쉬게 되며 이에 따라 음식물의 흡인이 자주 일어나게 됩니다. 식도 바로 뒤의 척추를 침범하면 등쪽에 통증이 올 수 있고, 기관(trachea)을 침범하면 기침, 객혈등의 증상이 생기게 됩니다.

진단방법

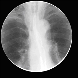
식도조영술

식도암에서 식도조영술 이미지

[식도암에서 식도조영술]

식도조영술은 엑스레이에 비투과성을 가진 물질일 조영제를 입으로 마신 후 조영제가 식도 점막에 묻어 있는 모양을 투시촬영을 통해서 관찰하는 검사법으로 식도점막의 변화를 관찰함으로써 식도암의 모양, 크기, 위치 등을 평가하고 주위 기관과의 관계를 알 수 있습니다.

식도내시경

식도암에서 식도내시경 이미지

[식도암에서 식도내시경]

식도내시경검사는 입을 통하여 내시경을 식도와 위로 삽입하여 식도나 위의 이상유무를 판단하는 검사입니다. 사진에서 보는 바와 같이 내시경을 통하여 식도암을 직접 관찰하면서 식도암의 위치나 크기, 모양 등을 평가하며 조직검사를 시행하고, 색소를 이용하여 정상 점막만을 염색하여 다발성 병변의 유무를 진단할 수 있습니다. 그리고 식도내시경검사는 식도암의 원위부 즉 식도암보다 아래의 식도와 위에 대해서도 검사를 시행하여 이상유무를 판단하여 치료계획에 도움을 줍니다. 또한 식도내시경검사는 수술 후 식도협착이 있는 환자나 수술이 불가능한 환자의 경우에 풍선확장술이나 스텐트 삽입에도 이용될 수 있습니다.

식도초음파 내시경

식도암에서 식도초음파 내시경 이미지

[식도암에서 식도초음파 내시경]

위에서 말한 일반적인 식도내시경의 경우에는 식도내강의 표면만을 관찰하도록 되어있어 암이 얼마나 깊이 파고 들어 갔는지는 알기 어려운 단점이 있습니다. 흉부 전산화단층촬영 등의 방법도 있지만 정확한 깊이는 알기 어렵습니다. 초음파 내시경검사는 식도내에 초음파기기를 삽입하여 식도벽을 통해 검사를 시행하므로 식도암의 침범 정도에 대해 세밀하게 알 수 있습니다. 뿐만 아니라 식도암이 대동맥이나 척추, 기관 같은 식도 주변의 기관으로의 침범여부도 정확히 알 수 있으며, 암의 식도 주변의 림프절 침범여부도 비교적 정확히 알 수 있으며, 식도를 통하여 조직검사를 할 수 도 있습니다.

기관지내시경

식도암에서 기관지내시경 이미지

[식도암에서 기관지내시경]

기관지 내시경은 숨을 쉬는 기관지내부를 검사하는 것으로 식도 내시경과는 다릅니다. 특히 중 상부 식도암의 경우에는 뒤쪽에서부터 기관 및 기관지를 침범하는 경우가 있으며, 또 식도에 암이 있는 환자의 경우에 후두나 기관 또는 기관지에 암이 동반될 가능성이 있기 때문에 수술 전에는 꼭 기관지내시경 검사를 시행하여 침범여부를 확인하는 것이 좋습니다.

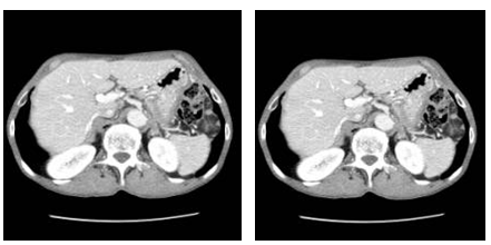
흉부 및 복부전산화단층촬영

식도암에서 전신 뼈 스캔 이미지

[식도암에서 전신 뼈 스캔]

전산화단층촬영(CT)은 X-선을 우리 몸에 투과 시킨 후 얻어진 신호를 컴퓨터로 계산하여 신체의 단면을 영상으로 나타내는 검사입니다. 식도암에서는 흉부 및 복부 전산화단층촬영(CT)을 시행함으로써 식도암의 위치와 주위 조직으로의 침범 여부, 흉강 및 복강 내 림프절 전이의 판정(수술 전 병기 결정), 흉강 및 복강내의 원격 전이(림프절이 아닌 신체기관에의 전이) 판정 등에 이용되며, 식도암 이외에 동반된 흉부 및 복부질환의 진단에도 도움이 되며, 수술 후의 합병증을 확인하거나 항암화학요법의 반응 정도를 확인하는 데에도 많이 쓰입니다.

전신 뼈 스캔

식도암에서 흉부 및 복부 전산화 단층촬영 이미지

[식도암에서 흉부 및 복부 전산화 단층촬영]

식도암은 뼈로도 쉽게 전이가 됩니다. 전신 뼈 스캔은 식도암의 뼈 전이를 진단하기 위해 하는 검사입니다.

양전자방출단층촬영(PET/CT)

식도암에서 PET 스캔 (PET/CT) 이미지

[식도암에서 PET 스캔 (PET/CT)]

양전자방출단층촬영(PET)은 현재까지 나와 있는 암 검사법 중에 가장 민감하다고 알려져 있습니다. 기존의 검사법에서 밝혀지지 않은 원격 전이의 진단이나 림프절 전이 여부의 판정에 유용합니다.

양전자방출단층촬영(PET/CT)검사는 양전자방출단층촬영(PET)이라는 검사와 전산화단층촬영(CT)을 기계적으로 결합한 검사로서 기존의 양전자방출단층촬영(PET)이나 전산화단층촬영(CT)보다는 진단률이 높으며 암이 전이된 부위의 해부학적 위치를 정확하게 판단할 수 있습니다.

흉강경 및 복강경

흉강경이나 복강경은 진단을 목적으로 하는 수술을 말하는 것으로 흉강경은 가슴속에 그리고 복강경은 뱃속의 이상을 알아 보기 위해 전신 마취 하에서 가슴 또는 복부에 몇 개의 구멍을 내고 내시경 및 수술 기구를 삽입하여 진단 또는 치료를 하는 방법입니다. 식도암의 진단에 있어서 다른 방법으로 확인이 되지 않는 림프절이 있거나 수술적 절제 여부가 불확실할 때 사용되고 있습니다.

치료방법

개요

앞 절에서 설명한 여러 가지 검사를 시행한 후검사의 결과들을 종합하여 현재의 환자 상태에 따라 치료방침을 결정하게 됩니다. 현재 식도암을 치료하는 방법은 크게 수술, 방사선요법, 항암화학요법 등이 있습니다. 식도암의 경우에는 수술적 제거가 치료의 주축이라 할 수 있습니다. 일반적으로 원격전이가 없고,병변의 수술적 절제가 가능하며, 환자의 전신 상태가 수술이 가능한 상태라면 수술을 해서 암을 제거하고 위나 대장 등을 이용하여 식도 재건 수술을 시행하고 있습니다. 상당히 진행된 암의 경우에는 먼저 항암화학요법-방사선 치료를 같이 시행하는 복합치료를 시행하거나 항암치료나 방사선 치료를 시행한 후에 수술을 시행하기도 합니다. 원격전이가 있는 경우에는 항암화학요법이 주가 되며 경우에 따라 방사선요법을 같이 시행하기도 합니다. 최근 위-식도 내시경을많이 시행하게 됨에 따라 아주 초기에 발견되는 식도암의 경우 점막에만 암이 국한되어 있다면 수술을 시행하지 않고 내시경을 이용하여 점막부위의 병변만을 절제하는 내시경적 점막 절제술이나 광선역학요법도 시행되고 있습니다.

초기 식도암 및 전암성 병변

점막에 국한된 초기 식도암이나 고도의 이형성(High grade dysplasia)을 동반한 바렛 식도의 경우 상당한 수의 환자들이 침윤성 암종으로 진행될 것이 예상되므로 수술적 절제를 함으로써 완치를 기대할 수 있습니다. 최근에 연구되고 있는 비교적 덜 침습적인 치료법으로는 광선역학요법(Photodynamictherapy, PDT)이나 초음파내시경 점막절제술 등이 있습니다.

수술적 절제 가능 식도암

1,2기 및 3기의 일부 식도암의 경우에 환자의 신체적 상태에 특별한 문제가 없다면 수술적 절제를 시행하고 있습니다. 식도를 절제하는 방법으로는 개흉술을 통한 방법, 개흉술을 시행하지 않고 목부위의 절개와 가로막의 식도구멍을 통한 식도절제술 그리고 최근에는 흉강경을 이용한 식도절제술 등의 방법이 있습니다. 이중 현재까지는 개흉술을 통한 식도절제술 및 경부, 복부 및 종격동 림프절 제거술이 근치적 목적의 표준 수술방법이라고 할 수 있습니다. 식도를 절제한 후에는 입으로 음식을 섭취할 수 있게 하기 위해 식도-위 연결을 복원합니다. 경부 또는 상부 식도와 하부의 장을 연결하는 방법은 여러가지가 있습니다. 이 중 가장 많이 쓰이는 방법은 위장을 이용하는 방법이며, 가슴속이나 목부위 절개를 통해 연결하는 것입니다. 그외에 많이 사용되는 것은 대장을 이용하여 식도재건술을 시행하는 것입니다. 즉, 대장의 일부를 절제하여 목부위의 식도와 위 사이를 연결하는 것입니다.하부 식도만 절제하는 경우에는 공장을 이용하여 연결하는 경우도 있으며, 인두부위의 암이거나 경부식도암의 경우에는 경부 식도만 절제한 후에 소장의 일종인 공장의 일부를 혈관과 함께 완전히 떼어내어 이식하는 자유 공장편을 이용하기도 합니다.

수술적 절제가 가능한 식도암에서도 수술만을 시행하는 것이 아니라 수술 전후로 항암화학요법, 방사선요법, 항암방사선요법 등을 시행할 수 있습니다.
개흉술하에서 식도를 주위조직과 분리하는 모습 이미지

[개흉술하에서 식도를 주위조직과 분리하는 모습]

식도절제술시 같이 시행하는 림프절 제거술 이미지

[식도절제술시 같이 시행하는 림프절 제거술]

위장을 흉강 내로 끌어 올린 후 식도를 절제하고 식도-위 문합술을 시행하는 모습 이미지

[위장을 흉강 내로 끌어 올린 후 식도를 절제하고 식도-위 문합술을 시행하는 모습]

대장을 이용하여 식도-대장-위장 문합술을 시행한 모습 이미지

[대장을 이용하여 식도-대장-위장 문합술을 시행한 모습]

수술적 절제 불가능 식도암

원격 전이는 없으나 식도암이 식도주위의 중요한 기관에 침범을 하였거나 환자의 신체적 상태 때문에 수술을 할 수 없는 경우에는 방사선 치료, 항암화학요법, 항암방사선요법 등으로 치료하고 있습니다. 수술이 불가능한 식도암에 대해서 방사선 단독 요법은 국소조절은 어느 정도 가능하나 장기적인 생존율은 향상시키지는 못하는 것으로 알려져 있습니다. 항암화학요법 역시 항암화학요법 단독으로 50%정도의 환자에서 암이 줄어드는 효과를 보였으나 5년 생존율에는 변화가 없는 것으로 알려져 있습니다.

고식적 치료

식도암의 고식적 치료란 식도암을 완전히 절제할 수 없거나 원격전이가 있어 근치적 목적의 수술이나 항암 방사선 복합요법 등의 치료를 할 수 없는 경우에 통증, 출혈, 식사 문제 등의 증상을 호전시키기 위해서 시행하는 치료를 말합니다.

고식적 수술

식도암에 대해 근치적 수술적 절제를 시도하였으나 대동맥, 기관 등의 중요 부위에 암의 침범이 있어 암의 일부를 남기거나 주변 림프절의 일부를 남기고 수술하게 되는 경우를 말합니다. 이런 경우에도 식도-위 연결을 복원하여 수술 후 식사를 가능하게 하는 것을 우회(bypass) 수술이라고 합니다. 고식적 수술 후에도 방사선 치료 등을 시행할 수 있습니다.

고식적 방사선 치료

식도암이 진행되면 뼈, 뇌, 폐 주변 기관등에 전이하게 됩니다. 뼈로 전이한 데 따른 통증, 뇌로 전이한 데 따른 신경증상, 림프절전이의 기관협착에 따른 숨막힘, 혈담 등을 개선하기 위해서 고식적 방사선치료를 시행할 수 있습니다. 이 때 방사선치료는 증상을 완화시키는데 도움이 됩니다. 증상이 개선되면 일단 목적을 달성하는 것이므로 근치치료와 같이 오랜 기간동안 치료를 하지는 않습니다. 치료는 대략 2-4주 정도 걸립니다.

식도내 삽관법

수술을 할 수 없는 식도암 환자에서 식도의 협착이 심해 음식물 섭취가 곤란한 경우, 실리콘으로 만들어진 인공식도나 금속제의 스텐트 등을 삽입하여 음식물을 섭취할 수 있도록 하는 방법입니다. 앞으로도 소재나 관을 삽입하는 방법 등을 더 개발할 필요가 있습니다만 삶의 질을 향상시키는데는 유용한 치료법으로서 자리잡고 있습니다

예방법

식도암을 예방하기 위해서는 앞서 언급한 식도암의 위험인자를 없애는 것이 중요합니다. 즉 술을 절제하고, 담배를 끊고, 균형 잡힌 식생활을 하는 것이 좋습니다. 만약 위-식도 역류나 바렛 식도와 같은 질환으로 진단 받았다면 적절한 치료를 받고 정기적으로 검사를 해 보는 것이 식도암의 예방 및 조기 발견에 도움이 되겠습니다.

[내용, 사진 출처 : 국가암정보센터 http://www.cancer.go.kr]