본문 바로가기 대메뉴 바로가기

건양대학교병원암센터

췌장암

정의 및 종류

정의

췌장암은 췌장에 생겨난 암세포의 덩이입니다. 이런 덩이를 종괴(腫塊)라고 합니다. 췌장암에는 여러 종류가 있으나 90% 이상은 췌관의 외분비 세포에서 발생하기에, 일반적으로 췌장암이라고 하면 췌관 선암(膵管腺癌)을 말합니다. 선암이란 선세포, 즉 샘세포에서 생기는 암을 가리킵니다. 췌장암은 발생 위치에 따라 증상에 차이가 있습니다.

종류

췌장에 생기는 종양은 수술적 절제로 치료가 가능한 양성 종양에서부터 예후(豫後, prognosis, 병의 상태가 앞으로 어떨지에 대한 전망, 혹은 병 치료 후의 경과)가 매우 불량한 악성 종양 즉 암에 이르기까지 유형이 다양합니다. 그 중 가장 흔한 낭성종양(囊性腫瘍), 이른바 물혹에도 여러 종류가 있는데, 대부분은 악성 아닌 양성이지만 간혹 처음부터 악성이거나 진단 당시에는 양성이었다가 이후 악성으로 바뀌는 것도 있습니다. 낭성종양에는 장액성(漿液性)과 점액성(粘液性) 낭성종양, 췌관내 유두상(乳頭狀) 점액종양, 고형 가(假)유두상 종양, 그리고 림프 상피성(上皮性) 낭종과 낭종성 기형종(畸形腫, teratoma) 같은 종양이 포함됩니다. 악성 종양으로는 췌장 외분비종양인 췌관선암종, 선방세포암종, 그리고 신경내분비종양 등이 있습니다.

췌장 낭성 종양

췌장 종양의 약 1%을 차지하는 췌장 낭성 종양은 최근 그 발생 빈도가 증가하고 있습니다. 증상이 없고, 있다고 해도 비특이적이어서 다른 병으로 방사선검사를 하다가 우연히 발견되는 수가 많습니다. 참고로, 생물학이나 의학에서 ‘특이적(specific)’이라는 말은 어떤 작용이나 반응이 특정한 대상이나 조건에서만 선택적으로 일어난다는 뜻입니다. 따라서 비특이적 증상(non-specific symptom)이란 특정 질환의 증상이라고 볼 수 없는 것을 말합니다.

장액성 낭성종양(serous cystadenoma)

여성에게 많이 발견되고, 암으로 진행될 가능성이 매우 낮습니다.

점액성 낭성종양(mucinous cystic neoplasm)

여성에게 흔하며 췌장의 꼬리 부분에 많이 생깁니다. 악성화의 경향이 있으므로 정확히 진단하는 것이 중요합니다.

췌관내 유두상 점액종양(intraductal papillary mucinous neoplasm, IPMN)

양성부터 악성까지 다양한 소견을 보이고, 악성인 경우에도 일반적인 췌관 선암종보다 예후가 좋은 경우가 많습니다.

고형 가(假)유두상 종양(solid pseudopapillary tumor)

췌장 낭성종양의 5% 이내이며, 대부분 젊은 여성에게 생깁니다. 악성화 가능성을 배제할 수 없으므로 수술 치료를 우선적으로 고려합니다.

악성 췌장 종양

췌관 선암종(pancreatic ductal adenocarcinoma)

가장 흔한 유형의 악성 종양으로, 췌장 종양의 85~90%가량을 차지합니다. 60~80대 남자에게 잘 발생하며, 일부는 담도(膽道)나 십이지장의 폐색과 복통을 유발할 수 있습니다.

선방세포 암종(acinar cell carcinoma)

췌장 외분비 종양의 1~2% 이내로 드문 종양이며, 중 노년의 남자에게 많이 생깁니다.

신경내분비 종양(neuroendocrine tumor)

발생 빈도가 인구 10만 명당 1명 이하인 아주 드문 종류로, 대부분은 호르몬을 분비하지 않는 비기능성 종양입니다. 호르몬을 생성하는 기능성 신경내분비 종양일 경우, 그 호르몬의 종류에 따라 인슐린종(腫), 가스트린종, 글루카곤종 등으로 나눕니다. 가스트린(gastrin)은 위산 분비를 촉진하는 호르몬입니다.

발생 위치에 따라 증상에 좀 차이가 나고, 수술 방법도 달라질 수 있습니다. 드물게는 십이지장 유두부(乳頭部)에서 발생하는 유두부암, 또는 담도암이 췌장암으로 오인되는 경우도 있습니다. 십이지장 유두부는 담관과 췌관이 십이지장으로 열리는 부분입니다.

위험요인

개요

췌장암은 다른 어떤 암보다도 조기 진단이 중요합니다. 그럼에도 실제로는 조기 진단이 어려운 까닭은 췌장암의 발생 기전을 정확히 알지 못하기 때문입니다. 환경적 요인과 유전적 요인이 복합적으로 관여하는 것으로 알려지고, 몇 가지 위험요인이 밝혀졌거나 추정되고 있는 정도입니다.

유전적 요인으로는 K-Ras(케이라스)라는 유전자의 이상이 특히 주목됩니다. 췌장암의 90% 이상에서 이 유전자의 변형이 발견되었습니다. 환경적 요인 가운데는 흡연이 발암에 상당한 영향을 미치는 것으로 알려졌으며, 위암이나 대장암과 비교했을 때 이 밖에도 몇 가지 환경적인 요인이 관여할 것으로 생각됩니다. 특히 육류 소비와 음식물의 지방 함량이 췌장암 발생과 상관관계가 있다는 보고가 있으나 확실치는 않습니다. 과일, 채소, 식이섬유소, 비타민 C 등이 췌장암 예방 효과가 있다는 보고 역시 명확히 입증되지는 않았습니다.

흡연

췌장암의 발생과 관련이 깊은 발암물질은 담배입니다. 흡연을 할 경우에는 췌장암의 상대 위험도가 2~5배로 증가하기 때문입니다. 담배는 현재까지 알려진 가장 중요한 위험인자입니다. 다른 장기에 흡연과 관련하여 악성 종양(두경부암, 폐암, 방광암 등)이 생겼을 경우에 췌장암의 발생이 증가한다는 보고도 있습니다. 췌장암의 3분의 1가량이 흡연으로 인한 것이며, 흡연자는 비흡연자에 비해 췌장암 발생 위험도가 1.7배라고 합니다. 담배를 끊었을 경우, 10년 이상이 지나야 췌장암에 걸릴 위험이 담배를 피우지 않는 사람만큼 낮아집니다.

비만

비만인 경우 췌장암 발생 위험도가 증가한다고 보고되었으나 연구 결과들이 일치하지 않아서 단정하기는 어렵습니다.

당뇨

당뇨는 췌장암의 원인이 될 수도 있지만, 반대로 췌장암과 연관된 2차적인 내분비 기능 장애가 당뇨를 일으키는 것으로 보기도 합니다. 앞의 견해를 뒷받침하는 것으로는 5년 이상 당뇨를 앓고 있는 환자들은 췌장암 발생률이 증가한다는 등의 연구 보고가 있습니다. 인과관계를 이와 반대로 보는 견해의 근거는, 췌장암을 진단 받기 2년 전쯤에 흔히 당뇨가 발생하고, 그런 환자가 수술을 통해 암을 제거하면 3개월 이내에 당뇨가 호전되기도 한다는 점입니다. 어느 견해도 무시할 수 없는 만큼, 당뇨를 장기간 앓고 있는 사람과 가족력 없이 갑자기 당뇨진단을 받은 사람은 일단 췌장암 검사를 받을 것을 권합니다.

인슐린 비의존성 당뇨(제2형 당뇨)이 있는 경우, 췌장암 발생 위험은 1.8배로 높아집니다. 우리나라 췌장암 환자의 당뇨 유병률은 28~30%로 일반인(7~9%)의 3배 이상입니다(유병률이란 어떤 시점에 일정한 지역 혹은 집단의 인구 중 특정 질환의 환자가 차지하는 비율을 말합니다).

만성 췌장염

만성 췌장염은 정상적이던 췌장 세포들이 염증을 앓는 가운데 섬유조직으로 변해가면서 췌장 전체가 매우 딱딱해져 기능을 잃게 되는 병으로, 처음부터 만성형으로 발병하기도 하고 반복적인 급성 염증이 만성으로 이어지기도 합니다. 서구의 경우 10만 명당 5~10명의 빈도로 발생하며, 일본은 더 높은 빈도를 보입니다. 만성 췌장염의 가장 중요한 원인은 음주입니다.

만성 췌장염이 있으면 췌장암의 위험이 증가하므로 이것을 췌장암의 원인 질환으로 봅니다. 만성 췌장염과 췌장암을 구별하기가 매우 어려운 경우도 있는데, 췌장염은 생명에 지장이 없으나 암은 치명적인 병이므로 철저한 감별 진단이 필요합니다. 또한, 매우 드물지만 유전성 췌장염도 췌장암으로 발전할 가능성이 있습니다.

가족성 췌장암

직계 가족 가운데 50세 이전에 췌장암에 걸린 사람이 하나 이상 있거나, 발병한 나이와 상관없이 직계 가족 가운데 췌장암 환자가 둘 이상 있다면 가족성 췌장암이 아닌지 의심해야 합니다. 의사와 상의하여 정기적으로 검진을 받는 것이 필요합니다.

가족성 췌장암에서 특별한 유전적 이상이 확인된 바는 아직 없지만, 유전적 소인과 유전자 이상도 췌장암 발생에 관여하는 것으로 의심됩니다. 다른 악성 종양 없이 한 가계에서 3대에 걸쳐 췌장암이 발생한 사례가 있습니다. 또, 유전적 소인이 췌장암 원인의 약 10% 정도를 차지한다고 알려졌습니다. 유전적 소인에 대해 밝혀진 것은 많지 않으나, K-Ras(케이라스)라는 유전자의 변형이 췌장암의 90% 이상에서 발견되었다는 사실은 주목할 만합니다. 이는 모든 암종에서 나타나는 유전자 이상 가운데 가장 빈도가 높은 것입니다.

나이

나이는 췌장암뿐 아니라 다른 암들의 발생에도 중요한 인자로 알려져 있습니다. 췌장암 발생률은 높은 연령대에서 크게 증가합니다. 일반적으로 췌장암 발생의 평균 나이는 65세로, 30세 이전에 췌장암이 발생하는 경우는 매우 드물며 50세 이전에도 많지 않습니다. 50세 이전에 췌장암이 발생했거나, 가족 중에 그 같은 환자가 있다면 가족성 췌장암일 가능성이 크므로 철저한 조사가 필요합니다.

음주

이전의 연구 보고들에서는 과음이 췌장암 발생 위험을 키운다는 주장이 많았으나, 많은 음주자가 흡연을 즐긴다는 점을 고려하면 술보다는 흡연의 영향이 컸을 수 있습니다. 최근에는 음주와 췌장암 발생 사이엔 유의미한 관계가 없다는 보고가 많습니다. 그 관계는 또 인종과 성별에 따라 다르고, 술의 종류나 음주량, 술을 마신 기간에 따라서도 다릅니다. 그러나 술을 많이 마시는 것은 췌장염의 주요 원인이기 때문에 췌장암 발생과 적어도 간접적으로는 관련됩니다.

식이

최근 들어 식이(食餌) 또는 식이 습관이 췌장암 발생에 영향을 미친다는 연구 결과가 많이 나오고 있습니다. 여러 역학 연구에서 육류나 지방, 탄수화물의 과도한 섭취, 과다한 열량과 높은 체질량지수(body mass index, BMI)가 췌장암의 위험도를 높이는 반면 신선한 과일과 채소류, 비타민 등은 위험도를 낮추는 경향이 있다고 보고하고 있는데, 연구 결과들이 일치하지 않아서 확언하기는 어렵습니다. 체질량지수(body mass index, BMI)란 키와 몸무게를 이용하여 비만의 정도를 측정하는 것으로, 몸무게(kg)를 키(m)의 제곱으로 나눈 값입니다.

화학물질

각종 용매제, 휘발유와 그 관련 물질, 살충제(DDT)와 베타나프틸아민(β-naphthylamine), 벤지딘(benzidine) 등의 화학물질도 췌장암의 위험인자로 알려졌습니다. 이 모두가 의심의 여지 없이 입증되지는 않았으나, 여러 연구에서 화학물질이 췌장암을 유발할 수 있는 것으로 나타났습니다. 석탄에서 발생하는 가스에 많이 노출된 사람은 췌장암 발생률이 매우 높습니다. 탄소 연료인 코크스를 취급하는 사람들에게도 대장암과 췌장암이 많고, 석탄이나 타르 관련 작업자, 금속 제조나 알루미늄 제분 종사자, 기계를 수리하거나 자르거나 깎는 작업을 하면서 관련 유체(流體)에 많이 노출되는 사람들 역시 췌장암 발생 위험성이 높다는 보고들이 있습니다. 아울러 방사선 노출 또한 위험인자로 생각됩니다.

일반적 증상

개요

췌장암의 증상 중 많은 부분은 다른 췌장 질환이나 소화기계 장애에서도 나타나는 비특이적인 것들입니다. 복통, 체중 감소와 황달 등의 증상이 보이는 환자의 40~70%에게서 췌장암이 발견됩니다. 증상은 종양의 위치와 크기, 전이 정도에 따라 달라지는데, 대부분의 췌장암 환자에게 복통과 체중 감소가 오고, 췌두부암(췌장 머리에 생긴 암) 환자들은 거의가 황달 증상을 보입니다. 췌장암의 60~70%는 머리 부분에 발생하며, 인접한 총담관의 폐쇄와 관련된 증상이 주로 나타납니다. 췌장 몸통이나 꼬리 부분의 암은 초기엔 증상이 거의 없어서 시간이 꽤 지나서야 발견되는 경우가 많습니다.

복부 통증

췌장암의 가장 중요한 증상은 통증입니다. 약 90%에서 나타나지만, 초기의 증상이 애매해서 진료를 받지 않고 넘어가는 사람이 많습니다. 명치(흉골 아래 한가운데에 오목하게 들어간 곳)의 통증이 가장 흔하나, 좌우상하 복부 어느 곳에든 올 수 있습니다. 췌장은 등 가까이에 있기 때문에 흔히 허리 통증을 호소하는데, 이처럼 요통이 왔을 때는 병이 이미 꽤 진행된 경우가 많습니다. 암세포가 췌장을 둘러싼 신경으로 퍼지면 상복부나 등에까지 심한 통증이 옵니다.

복부의 통증은 췌장 주위로 암이 침윤(浸潤)했다는 신호일 때가 많아서, 통증 없는 상태에서 병원에 오는 환자에 비해 예후가 좋지 않은 편입니다. 침윤(infiltration)이란 암세포가 인접한 조직에 파고드는 것을 말합니다.

황달

황달(黃疸) 또한 췌장암의 가장 흔한 증상 중 하나로, 췌두부암의 약 80%에서 나타납니다. 종양 때문에 총담관이 십이지장으로 이어지는 부분이 막혀서 담즙이 제대로 흐르지 못하고, 그에 따라 빌리루빈(bilirubin)이라는 물질이 제대로 배출되지 못할 경우에 발생합니다. 빌리루빈은 수명이 다한 적혈구가 체내 대사 과정에서 파괴될 때 헤모글로빈이 분해되어 생기는 것으로, 담즙 색소의 주성분입니다. 황달이 생기면 소변이 진한 갈색이나 붉은색이 되는데, 황달에 걸렸다는 사실을 모르는 채 소변 색의 이상을 먼저 호소하는 환자가 많습니다. 대변의 색도 흰색이나 회색으로 변하고, 피부 가려움증이 따르며, 피부와 눈의 흰자위 등이 누렇게 됩니다.

췌장의 몸통이나 꼬리에 종양이 생겼을 때는 5~6% 정도에서만 황달이 발생하지만, 암세포가 이미 췌장 전체에 퍼지고 간이나 림프절로 전이되었을 정도로 병이 진전된 상태일 때가 많습니다.

황달이 발생하면 빨리 병원에 가서 치료를 받아야 합니다. 황달과 함께 열이 나면 막힌 담도에 염증이 발생했다는 신호입니다. 이때 막힌 부분을 신속히 뚫어 주지 않으면 패혈증으로 사망할 수도 있습니다. 담도를 개통시키는 방법은 여러 가지가 있으나, 환자에게 고통을 덜 주고 생리적인 경로로 담즙을 내보내는 내시경 시술이 가장 많이 쓰입니다.

체중 감소

뚜렷한 이유 없이 몇 달에 걸쳐 체중이 감소하는 것은 췌장암 환자에게 흔히 나타나는 증상입니다. 이상적인 체중을 기준으로 10% 이상이 줄어듭니다. 원인은 암 때문에 췌액 분비가 적어지는 데 따른 흡수 장애와 식욕 부진, 통증으로 인한 음식물 섭취 감소, 또는 췌장암의 간 전이나 원격 전이 등 여러 가지입니다.

소화 장애

상부 위장관 검사나 다른 소화기 검사에서 별다른 이상이 발견되지 않았는데도 막연한 소화기 증상이 지속될 때가 있습니다. 이는 종양이 자라면서 십이지장으로 흘러가는 소화액(췌액과 담즙)의 통로를 막아 지방을 소화하는 데 문제가 생겼기 때문일 수 있습니다. 그럴 경우 대변의 양상이 바뀌어, 물 위에 뜨는 옅은 색의 기름지고 양이 많은 변을 보게 됩니다. 암세포가 위장으로 퍼졌을 경우에는 식후에 불쾌한 통증, 구역질, 구토가 옵니다.

당뇨

암이 생기면 전에 없던 당뇨가 나타나거나 기존의 당뇨가 악화되기도 하며, 췌장염 증상을 보이기도 합니다. 위험요인 부분에서 이미 언급한 대로 당뇨는 췌장암의 원인일 수도 있지만 종양 때문에 생길 수도 있습니다. 따라서 가족력이 없이 갑자기 당뇨가 생겼다면 췌장암의 발생을 의심해볼 수 있습니다.

그 밖의 증상

대변의 상태 외에 배변 습관에도 변화가 생길 수 있으며, 일부 환자에서는 변비가 나타나기도 합니다. 오심, 구토, 쇠약감, 식욕부진 등 비특이적인(즉, 반드시 암을 시사하는 것은 아닌) 증상이 자주 나타나며, 환자의 5% 이하에서는 위장관 출혈, 우울증이나 정서불안 같은 정신장애, 표재성(表在性) 혈전성 정맥염 등이 나타나기도 합니다. 표재성 혈전성 정맥염은 몸의 표면 가까이에 있는 정맥에 염증이 생기고 혈전이 수반되는 병증입니다.

진단방법

개요

복부 깊숙이 다른 장기들에 둘러싸여 있는 췌장의 암은 초기 증상이 거의 없는 데다, 있다 해도 다른 소화기계 장애의 증상들과 뚜렷이 구분되지 않기 때문에 조기에 발견하기가 매우 어렵습니다. 그래서 증상이 나타난 뒤에 암을 발견하면 이미 상당히 진행된 경우가 많습니다. 췌장암의 임상적 증상이 위나 간에 질환이 있는 경우와 비슷하므로 이들과 감별하는 것도 중요합니다.

현재 췌장암 진단을 위해 임상에서 사용하는 검사들로는 혈액검사와 혈청 종양표지자검사, 초음파검사, 전산화단층촬영(CT), 자기공명영상(MRI), 내시경적 역행성 담췌관 조영술(ERCP), 내시경 초음파검사(EUS), 양전자방출단층촬영(PET), 그리고 복강경검사와 조직검사 등이 있습니다.

혈액 검사

혈액검사만으로 췌장암을 진단할 수는 없습니다. 다만, 검사 결과에 이상이 보이면 췌장암을 의심해 볼 수 있는 몇몇 항목들이 있습니다. 예를 들어 황달이 있으면 빌리루빈 수치가 올라가고 알칼리 포스파타아제(alkaline phosphatase), 감마-글루타밀트랜스펩티다아제(gamma-glutamyl transpeptidase) 같은 효소들의 수치가 함께 상승합니다. 또한 종양이 췌관을 막으면 2차적으로 췌장염이 생기므로 아밀라아제(amylase) 효소의 수치가 높아질 수 있습니다. 그런데 황달은 담도 결석, 담도 협착, 담도암 등 담관 폐쇄를 일으키는 다른 질환이 있거나 간에 질병이 있을 때에도 나타나기 때문에, 황달의 발생 원인을 정확히 알기 위한 추가 검사가 필요합니다. 한편, 췌장암이 간으로 전이된 경우에는 혈액검사에서 알칼리 포스파타아제나 트랜스아미나아제(transaminase, 아미노기 전달효소)의 증가가 나타날 수 있으며, 영양 결핍 때문에 알부민(albumin, 단백질의 일종)이나 콜레스테롤(cholesterol)의 수치가 감소할 수도 있습니다.

혈청 종양표지자검사

종양표지자(tumor marker)란 종양 세포에 의해 특이하게 만들어져서 암의 진단이나 경과 관찰에 지표가 되는 물질을 말합니다. 췌장암과 관련하여 가장 흔히 쓰이는 종양표지자는 CA(carbohydrate antigen)19-9인데, 특이도가 낮다는 문제점이 있습니다. 췌장암 외에 담도를 포함한 소화기계의 다른 암들에서도 수치가 상승할 수 있고, 악성 종양이 없는 담관염과 담도 폐색의 경우에도 마찬가지입니다. 암 초기에는 흔히 정상으로 나오므로 조기 진단에는 활용할 수 없지만, 췌장암의 예후 판정과 치료 후 추적 검사에 지표로 쓸 수 있습니다.

복부 초음파 검사

복부의 초음파검사(ultrasonography)는 환자에게 통증이 있거나 황달이 왔을 때 담석증과 감별하기 위해 1차적으로 시행하는 검사입니다. 췌장 종양이나 담관 확장, 간 전이 등을 확인할 수 있고 조영제(造影劑)를 사용할 필요가 없는 것이 장점이지만, 검사자의 능력에 따라 정확도가 크게 좌우되는 데다 췌장이 위 뒤쪽, 뱃속 깊은 곳에 있어서 관찰하기가 힘들고, 환자의 비만도와 장내 공기 등에 의한 검사상의 제약이 있습니다(조영제란 MRI나 CT 등 방사선 검사 때 조직이나 혈관을 잘 볼 수 있도록 각 조직의 엑스선 흡수 차이를 인위적으로 크게 만들어 주는 물질입니다).

복부 초음파검사로 췌장에서 혹이 보이거나 주변 림프절이 커져 있는 것이 관찰되면 췌장암을 의심할 수 있습니다. 췌장 자체에서는 혹이 뚜렷이 관찰되지 않더라도 췌관이나 담관이 막혀 있음을 의미하는 소견, 즉 관이 비정상적으로 굵어진 것이 보이는 경우에는 췌장암을 의심할 수 있습니다. 그러나 작은 크기의 췌장암은 진단이 쉽지 않을 때가 많습니다.

복부 전산화단층촬영(CT)

흔히 CT라고 약칭하는 전산화단층촬영(computed tomography)은 초음파검사보다 췌장암의 진단과 병기(病期, 병의 진행 단계) 측정에 더 유용합니다. 검사자에 따른 오류가 적으며, 병변을 객관적으로 관찰할 수 있고 영상이 더 세밀해서 1cm 정도의 종양도 발견할 수 있습니다. 췌장암의 병기 결정에 꼭 필요하므로 고령의 황달 환자 중 췌장암이 의심되는 경우엔 CT를 먼저 시행하기를 권합니다.

다중검출 나선형 전산화단층촬영(multidetector helical computed tomography, 또는 spiral computed tomography)은 췌장암의 진단율을 현저히 높였습니다. 영상 획득 시간이 짧아서 한 번 호흡을 참는 사이에 인체를 얇은 단면으로 수없이 잘라 관찰할 수 있고, 병변을 더 잘 보기 위해서 촬영 시간을 조절할 수 있어서 췌장 부위의 선명한 진단이 가능합니다, 나아가 수술 가능성을 판단하는 데에도 정확한 자료를 제공합니다. 따라서 췌장암 진단을 위해 초음파검사 대신에 이 나선형 CT를 1차적으로 시행하도록 권고하고 있습니다.

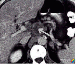
췌장암의 전산화 단층 촬영 이미지

[췌장암의 전산화 단층 촬영]

자기공명영상(MRI)

CT 결과가 애매할 경우에는 자기공명영상(magnetic resonance imaging)이 진단에 추가적인 도움을 줄 수 있습니다. 자기장을 형성하는 핵(核)자기공명 촬영 장치에 인체를 넣고 고주파를 발생시키면 몸 속의 수소 원자핵들이 공명하게 되는데, 이때 나오는 신호의 차이를 측정하고 컴퓨터 영상으로 재구성하여 병변을 확인하는 방법입니다. 췌관이나 담관의 관찰에 매우 효과적이며 간 전이를 잘 발견할 수 있는 것이 장점입니다.

내시경적 역행성 담췌관 조영술

내시경적 역행성 담췌관조영술(endoscopic retrograde cholangiopancreatography)은 내시경을 식도와 위를 거쳐 십이지장까지 삽입하여 담관과 췌관의 협착이나 폐쇄 여부를 눈으로 확인하고 해당 영상을 얻을 수 있는 유용한 검사입니다. 정확도가 높고, 담즙배액술 같은 치료를 동시에 할 수도 있습니다. 담즙배액술이란 정상적으로 배출되지 못하는 담즙을 체외로 빼내는 시술을 말합니다.

그러나 모든 경우에 시행하는 것은 아니며, 황달 치료 방법으로 내시경적 담즙배액술이 필요할 때 주로 쓰이고, CT 결과가 애매하거나 십이지장 유두부(췌관과 담관이 합류하는 곳) 등을 관찰해야 할 때, 또는 췌액의 채취나 췌관 내 생검과 세포진검사가 요구될 때 선택적으로 실시합니다. 일반적으로 위 내시경검사보다 힘들고 간혹 심각한 합병증도 올 수 있으므로 경험 많은 의료진이 주관해야 합니다.

내시경적 역행성 담췌관 조영술 이미지

[내시경적 역행성 담췌관 조영술]

내시경 초음파검사(EUS)

내시경 초음파검사(endoscopic ultrasound, 초음파 내시경검사)는 췌장암 진단의 정확도가 매우 높습니다. 내시경에 초음파 기기를 부착해 위(胃)나 십이지장 안에 넣고 췌장 가까이에서 초음파를 보내어 관찰하는 것입니다. 아울러 조직 검사도 가능합니다.

췌장 종양과 만성 췌장염의 감별, 2cm 이하 작은 종양의 진단, 췌장암의 병기 결정 등에 내시경 초음파검사가 일반 초음파검사나 전산화단층촬영(CT)보다 유용하다는 보고가 많이 나오고 있습니다.

내시경 초음파검사 이미지

[내시경 초음파검사]

양전자방출단층촬영(PET)

양전자방출단층촬영(positron emission tomography)은 암세포에서 당(糖) 대사가 활발한 것을 이용하는 검사법입니다. 암세포가 에너지원으로 사용하는 포도당이나 아미노산, 또는 핵산에 양전자 방출체인 동위원소를 붙여 주사한 뒤 이 검사를 하면 암이 있는 부위에서 동위원소의 흡수가 많이 일어나는 것이 영상으로 나타나 병소를 확인시켜 줍니다. 잠재 전이 병소의 발견이나 수술 후의 재발 판정, 암의 호전 여부 판별 등에 이용할 수 있습니다.

복강경 검사

복강경(腹腔鏡, laparoscope)이란 복강, 즉 배 안을 들여다보고 치료도 하는 내시경입니다. 복강경검사는 배벽을 작게 절개하고 가느다란 복강경을 삽입하여 췌장암의 크기나 범위, 복강 내 전이 여부를 육안으로 확인하는 것으로, 불필요한 개복수술을 피할 수 있는 게 장점입니다.

조직 검사

복부 전산화단층촬영(CT) 등 영상 검사)에서 췌장에 혹이 있거나 종양표지자인 CA19-9 수치도 높은 경우 확진을 위해서 조직검사을 시행할 수 있습니다. 개복수술이 가능한 환자라면 수술에서 절제한 조직을 검사하면 되므로 대개 수술 전 조직검사가 불필요합니다. 그렇지 않은 경우 조직을 얻기 위해 가장 많이 쓰이는 방법은 속이 빈 가는 바늘을 암이 의심되는 부위에 찔러 넣어 세포들이나 아주 작은 크기의 조직을 채취하는 것입니다.

치료방법

개요

치료 방법은 암의 크기와 위치, 병기, 환자의 나이와 건강 상태 등을 두루 고려하여 선택합니다. 수술, 항암, 방사선 치료를 경우에 따라 한 가지 방법으로 치료하기도 하고, 여러 요법을 병합하기도 합니다. 최근에는 수술 전 항암치료를 먼저 시행 후 반응 평가 후 수술을 시행하기도 합니다.

췌장암은 조기 진단이 어려운 만큼, 확인이 됐을 때는 이미 주변의 주요 장기로 침윤해서 근치적 절제가 불가능해진 상태일 경우가 많습니다. 근치적 절제가 불가능한 환자에서는 담관 폐쇄로 인한 황달 또는 십이지장 폐쇄를 치료하거나 통증을 조절하기 위해 완화적 치료가 필요합니다. 이를 통해 증상을 호전시키고 암으로 인한 부작용을 줄여서 삶의 질을 향상시킬 수 있습니다.

수술

췌장암에서 완치를 기대할 수 있는 유일한 치료법은 수술입니다. 하지만 이런 근치적 수술이 가능한 환자는 20% 정도에 불과합니다.

수술적 절제는 암이 췌장에 국한된 경우에 적용합니다. 췌장의 일부분이나 전체를 절제하며, 상황에 따라 주변 조직도 함께 제거합니다. 수술 방법은 암의 위치에 따라 달라서, 종양이 췌장 전체에 걸쳐 있으면 췌전절제술을, 췌장의 머리 부분에 있으면 휘플씨 수술이나 유문부 보존 췌십이지장절제술을, 꼬리 부분에 있으면 원위부 췌절제술을 시행하는 것이 일반적입니다.

휘플씨 수술

휘플씨 수술(Whipple operation 또는 Whipple procedure)은 암이 췌장의 머리 부분에 생겼을 때의 수술법 중 하나로, 췌장의 머리와 십이지장, 소장 일부, 위의 하부, 총담관과 담낭을 절제한 뒤 남은 췌장‧담관 및 위의 상부에 소장을 연결하는 것입니다. 최근에는 위 부분절제를 피하는 유문부 보존 췌십이지장절제술이 널리 쓰입니다.

휘플씨 수술 이미지

[휘플씨 수술]

유문부 보존 췌십이지장절제술

유문부 보존 췌십이지장 절제술은 휘플씨 수술과 비슷하나, 위를 보존한다는 점이 다릅니다. 유문부(幽門部)는 위의 넓은 몸통 아래쪽, 십이지장으로 이어지는 부분입니다. 췌십이지장 절제술은 까다로운 편이지만 최근 수술 기법과 마취 기술 및 중환자 치료법이 발전한 덕에 수술 사망률이 2-3%로 줄었고 5년 생존율도 높아져서, 절제가 가능한 췌장 두부암에 대한 최선의 치료법으로 쓰입니다. 그러나 합병증 발생률은 여전히 높아 40% 전후로 보고되고 있습니다. 가장 흔한 합병증은 췌장 문합부(吻合部, 수술 후 장기들을 연결한 부위)의 췌액 누출, 위 배출 지연(위의 운동이 정상이 아니어서 위가 잘 비워지지 않는 상태) 등입니다.

췌전절제술

휘플씨 수술에서는 췌장의 일부를 남겨놓는 반면, 췌전절제술(total pancreatectomy)은 췌장을 전부 제거하는 수술로 암이 췌장 전체에 걸쳐 있을 때 시행합니다. 암이 췌장 전체에 걸쳐 있으므로 종양학적으로는 휘플씨 수술보다 예후가 좋지 않습니다. 수술 후 대표적 합병증은 당뇨와 소화장애인데 췌장이 없기 때문에 췌장에서 생성되던 췌액과 호르몬이 생성되지 않으므로 이와 같은 합병증이 생길 수밖에 없습니다. 따라서 췌액과 호르몬을 대체할 소화효소와 인슐린의 투여가 필수적입니다.

원위부 췌장절제술

암이 췌장의 몸통이나 꼬리에 발생했을 경우에는 종양을 포함하여 췌장의 몸통에서 꼬리까지 전부, 또는 꼬리 부분만 제거하는 원위부 췌장절제술(distal pancreatectomy)을 시행합니다. 이때 췌장 꼬리 근처에 있는 비장(脾臟, 지라)도 같이 제거합니다. 휘플씨 수술에 비해 시간이 덜 걸리고 난이도도 높지 않은 편입니다.

항암화학요법

항암화학요법, 통칭 항암치료는 암세포를 죽이기 위해 일정한 주기로 체내에 항암제(抗癌劑)를 투여하는 것입니다. 항암제란 암세포의 발육이나 증식을 억제하는 화학 약제의 총칭이며, 먹는 것도 있고 혈관에 주사하는 것도 있습니다. 암이 이미 전이되어 수술이 힘들 때 생명을 연장하고 증상을 경감시키기 위해, 또는 수술 후에 남아 있을지 모르는 암세포들의 성장을 막기 위해 항암치료를 시행합니다.

여러 종류의 항암제를 활용하는 위암이나 대장암, 폐암, 유방암 등과 달리 췌장암에서는 효과적이라고 평가되는 약제가 드물어서 아직도 아주 소수의 항암제만 사용됩니다. 10여 년 전까지만 해도 췌장암에 거의 유일하게 쓰인 항암제는 소화기 암의 1차 항암제로 흔히 투여돼 온 5-FU였습니다. 그러나 1990년대에 임상시험을 마친 젬시타빈(gemcitabine)의 췌장암에 대한 효과가 입증되면서 현재는 이것이 췌장암의 기본적 항암제로 쓰이고 있습니다.

5-FU

5-FU(5-fluorouracil, 5-플루오로유라실)는 오래 전에 개발된 항암제로, 암세포의 DNA 합성을 방해하고 성장을 억제합니다. 짧은 시간에 주사를 놓을 수도 있고, 수액에 섞어서 천천히 투여할 수도 있는데, 뒤의 방식이 좀 더 효과적입니다. 주된 부작용으로는 식욕부진, 구역질, 구토, 구강염, 피곤함과 구강 궤양, 설사, 골수의 기능 저하로 인한 빈혈, 백혈구 감소증 등이 있습니다. 최근에는 카페시타빈(capecitabine), S1 등 경구 투여가 가능한 5-FU 계통의 다양한 신약이 개발되어 췌장암에도 쓰이고 있습니다.

젬시타빈(gemcitabine)

전이 췌장암의 1차 선택약으로 많이 사용되며, 비(非)소세포 폐암과 자궁경부암, 난소암 및 유방암에도 쓰입니다. 작용 기전은 5-FU와 마찬가지로 암세포의 DNA 합성을 방해하는 것입니다. 대개 수액에 섞어서 혈관으로 투여하고, 매주 한 차례씩 세 번을 주사한 뒤 넷째 주에는 쉬는 방식이 가장 많이 이용됩니다. 주요 부작용은 구역질, 구토, 골수 기능 저하 등입니다.

젬시타빈 단독 치료가 5-FU 단독 치료보다 효과가 우월합니다. 방사선치료와 병합하기도 하며, 현재 젬시타빈을 기반으로 하는 여러 항암제의 조합들이 사용될 수 있습니다.

표적치료제

최근 들어 표적치료제라는 것에 대한 연구가 활발히 진행되면서 상당한 성과도 거두어 임상에서 활용되고 있습니다. 표적치료제란 암세포에서 과도하게 나타나는 수용체나 단백질, 유전자 등을 선택적으로 차단함으로써 정상 세포에 피해가 가급적 덜 가도록 하는 약물입니다. 독성이 전혀 없지는 않다 해도 그 양상이 많이 다릅니다. 개발된 약제 가운데 엘로티닙(erlotinib, 상품명 타세바)은 젬시타빈과의 병합 치료로 생존 연장 효과가 보고된 바 있습니다.

방사선치료

췌장암 환자 중 수술적 절제가 불가능하지만 전이는 없는 사람이 40% 정도 되는데, 이들에게는 방사선치료를 시행할 수 있습니다. 방사선치료와 함께 항암제를 투여하면 생존 기간이 연장되는 경우가 많습니다. 또한 수술 중에 방사선을 조사(照射)하기도 합니다. 이렇게 하면 주위 조직의 손상을 최소화하면서 암 조직에 많은 양의 방사선을 쏘는 것이 가능합니다.

한편, 암이 뼈로 전이된 환자는 심한 통증이 오고 골절이 생기기도 합니다. 특히 척추 뼈 전이가 골절을 유발하면 척수가 손상될 수도 있습니다. 따라서 통증 완화와 골절 예방을 위해 뼈 전이를 발견하는 즉시 방사선치료를 하기도 합니다.

증상 치료-황달과 통증

종양이 담관을 폐쇄해서 황달이 왔을 때는 내시경을 이용하여 담관에 스텐트(stent), 즉 인공관을 삽입해 담즙을 배출시킬 수 있습니다. 이를 내시경적 역행성 담즙배액술(endoscopic retrograde biliary drainage, ERBD)이라고 합니다. 경험 많은 의사가 주관하면 성공률이 90% 이상이고 시술 관련 합병증은 1%쯤에 불과합니다.

췌장암은 아주 심한 통증을 유발하기 때문에 마약성 진통제를 사용해야 할 때가 많습니다. 이럴 경우엔 내시경 초음파나 경피적(經皮的)으로 주사바늘을 넣어 복강신경절의 신경 마취를 시도할 수 있습니다. 통증을 일으키는 종양에 대해 방사선치료를 시행하기도 합니다.

예방법

예방법

아직은 확립된 췌장암 예방 수칙이 없으므로 일상생활에서 위험요인들을 피하는 것이 최선입니다.

  • 담배는 췌장암 발생의 주요 원인 중 하나입니다. 담배를 피우지 말고, 남이 피우는 담배 연기도 피하는 것이 좋습니다. 흡연자가 췌장암에 걸릴 확률은 비흡연자의 1.7배이상이 된다는 점을 기억하십시오.
  • 건강한 식생활과 적절한 운동으로 알맞은 체중을 유지하는 것은 암뿐 아니라 모든 질환의 예방에 도움이 됩니다. 육류 중심의 고지방, 고칼로리 식이를 피하고 과일과 채소를 많이 먹는 쪽으로 식생활을 개선하십시오. 단백질도 식물성의 것을 많이 섭취하십시오.
  • 당뇨가 있으면 췌장암 발생 위험이 높아지니 당뇨 환자는 꾸준히 치료를 받고 식이요법을 철저히 지켜야 합니다.
  • 만성 췌장염도 췌장암 발생 위험도를 높이므로 적절한 치료를 받도록 합니다.
  • 직업상 췌장암 위험요인으로 알려진 물질들에 노출되는 사람들, 즉 각종 용매제, 휘발유와 그 관련 물질, 살충제(DDT)와 베타나프틸아민(β-naphthylamine), 벤지딘(benzidine) 등 석탄이나 타르 관련 작업자, 금속 제조나 알루미늄 제분 종사자, 기계를 수리하거나 자르거나 깎는 작업을 하면서 관련 유체(流體)에 많이 노출되는 사람들은 보호 장비를 착용하고 안전 수칙을 엄수하여 이러한 물질에의 노출을 가능한 한 줄여야 합니다.
  • 췌장암의 일부는 유전적 요인에 의한 것입니다. 직계 가족 가운데 50세 이전에 췌장암에 걸린 사람이 한 명 이상 있거나, 발병 연령과 상관없이 두 명 이상의 췌장암 환자가 있다면 가족성 췌장암을 의심하고 주의를 기울여야 합니다.
[내용, 사진 출처 : 국가암정보센터 http://www.cancer.go.kr]