본문 바로가기 대메뉴 바로가기

건양대학교병원암센터

대장암

정의 및 종류

정의

대장암이란 결장과 직장에 생기는 악성 종양을 말합니다. 발생 위치에 따라 결장에 생기면 결장암, 직장에 생기면 직장암이라고 하며, 이를 통칭하여 대장암 혹은 결장직장암이라고 합니다. 대장의 대부분이 결장이기 때문에 맥락에 따라 대장이라는 말로 결장만을 뜻할 때도 간혹 있습니다.

종류

대장암의 대부분은 대장 점막 샘세포에서 발생하는 선암(腺癌, 샘암)으로, 양성 종양인 선종성 용종(茸腫, polyp)에서 유래한다고 알려졌습니다. 용종이란 위장관 점막의 조직이 부분적으로 과도하게 증식하여 혹처럼 튀어나온 것을 말하며, 선종(腺腫, 샘종, adenoma)이란 샘세포가 증식하여 생기는 종양입니다. 전체 대장암의 약 5~15%는 유전적 요인으로 인해 발생합니다.

선암 이외에도 림프종, 신경내분비종양(유암종, 類癌腫, carcinoid), 평활근육종(平滑筋肉腫) 등이 원발성으로, 즉 다른 병의 결과가 아니라 그 자체로 생길 수 있습니다. 대장의 림프종은 전체 소화관의 악성 종양 중 1% 미만이며, 소화관 림프종 중에서는 10~20%를 차지합니다. 대장이 시작되는 부분인 회맹부에 잘 생기고 증상은 선암과 동일하며, 때때로 오른쪽 하복부에서 종괴(덩이)로 발견됩니다. 신경내분비종양(유암종)이란 위장관과 췌장, 난소, 폐 등의 신경내분비세포에서 발생하여 서서히 자라는 종양인데, 충수(충양돌기)와 직장에 주로 생기며 대부분 증상이 없습니다. 전이되거나 악성으로 유암종 증후군을 일으키는 경우는 극히 드뭅니다. 평활근육종이란 내장이나 혈관 따위의 벽을 이루는 평활근 즉 민무늬근에 생기는 육종(비상피성 조직에서 유래하는 악성 종양)입니다.

한편, 대장에도 카포시 육종(Kaposi's sarcoma)이라는 매우 드문 악성 종양이 생기는 수가 있습니다. 이 육종은 헤르페스바이러스(Kaposi’s sarcoma herpes virus, KSHV)에 의해 발생하는 것으로, 피부에 가장 많이 나타나지만 뇌를 제외한 모든 장기에 생길 수 있으며 후천성면역결핍증(AIDS) 환자에게서 자주 발견됩니다. 대장이나 직장에서는 붉은 반점이나 결절, 또는 용종의 형태를 보입니다.

위험요인

개요

대장암 발병의 위험요인은 식이 요인, 비만, 유전적 요인, 선종성 용종, 염증성 장질환, 신체 활동 부족, 음주, 50세 이상의 연령 등입니다.

50세 이상의 연령

대장암 발생 빈도는 연령에 비례하는 경향이 있습니다. 특히 50세 이상이 많이 걸립니다.

식이 요인

식생활은 대장암 발병에 가장 큰 영향을 미치는 환경적 요인으로 오랫동안 알려져 왔습니다. 동물성 지방, 포화지방이 많은 음식을 계속 먹거나 돼지고기와 소고기 같은 붉은 고기, 소세지나 햄, 베이컨 따위 육가공품을 즐기면 대장암 발생 위험이 높아진다는 것이 확인되었습니다.

그 외에 저(低)섬유소 식이, 가공 정제된 저잔사(low residual diet) 식이 등 섬유소가 적어 빨리 소화•흡수되고 장에 별로 남지 않는 음식물들(장 수술을 할 때 이 같은 식품 위주의 식사를 하기도 합니다)도 대장암 발생 가능성을 높입니다. 일부 연구에서는 육류를 굽거나 튀겨서 자주 섭취할 경우 대장암에 걸릴 위험이 커진다고 보고한 바 있습니다.

신체 활동 부족

대장암 발생률이 높은 서구를 중심으로 최근 수행된 연구들에 따르면, 노동량이 많은 직업군에서는 결장암의 발생 위험도가 상대적으로 낮으며, 근무 시간뿐 아니라 여가 시간의 신체 활동량도 결장암의 발생 위험을 낮춘다고 합니다. 신체 활동과 운동은 장의 연동운동을 촉진하여 대변이 장을 통과하는 시간을 줄이고, 그에 따라 대변 속의 발암물질들이 장 점막과 접촉하는 시간도 줄어들기 때문에 발암 과정이 억제되는 것입니다.

비만

살이 많이 찌면 대장암 발생 위험도가 약 1.5배에서 3.7배 정도로까지 높아진다고 알려졌으며, 이와 연관해 허리 둘레의 증가도 위험 요인의 하나입니다.

음주

우리나라도 최근 식생활이 서구화됨에 따라 대장암 발생률이 구미 선진국들처럼 높아지고 있습니다. 외국의 연구에서는 과음이 대장암 발생 위험을 높인다는 결과도 있고, 그렇지 않다는 결과도 있습니다. 더 많은 연구가 필요하지만, 다수의 의학자들은 과음이 대장암 발생 위험을 높일 수 있는 것으로 의심하고 있습니다.

유전적 요인

대장암의 5%는 명확히 유전에 의해 발병한다고 밝혀졌으며, 이 외에도 5~15%는 유전적 소인과 관계가 있는 것으로 알려졌습니다.

유전적 요인에 의한 대장암은 환경적인 요인에 의한 것과 달리 원인이 명확한 경우가 많습니다. 또한 결함 있는 유전자를 갖고 태어나므로 대장암이 비교적 어린 시기에 발생한다는 공통점이 있고, 유전자의 기능이 대장에만 국한되지 않기 때문에 다른 장기도 이상 소견을 보이는 수가 많습니다.

유전 성향이 있는 질환들 가운데 대장암과 관련된 대표적인 것이 유전성 대장용종 증후군입니다. 이것은 대장에서 다발성으로 용종이 생기는 질환들을 총칭하는 용어로, 가족성 선종성 용종증(Familial adenomatous polyposis)을 필두로 하여 연소기(年少期) 용종증(Juvenile polyposis syndrome), 포이츠-예거스 증후군(Peutz-Jeghers syndrome), 카우덴 증후군(Cowden's syndrome), MUTYH 연관 용종증(MUTYH associated polyposis), 뮤어-토레 증후군(Muir-Torre syndrome), 터콧 증후군(Turcot syndrome) 등이 여기에 속합니다. 가족성 선종성 용종증처럼 선종성 용종이 다발적으로 생기는 질환이라고 해서 하나하나의 선종이 대장암으로 진행할 가능성이 특별히 높은 것은 아닙니다. 그렇지만 선종이 수백, 수천 개나 생겨나는 만큼 전체적으로 대장암이 발생할 가능성이 매우 커질 수밖에 없습니다. 실제로 가족성 선종성 용종증의 경우, 치료를 하지 않으면 100%가 대장암으로 진행하는 것으로 알려졌습니다. 포이츠-예거 증후군과 연소기 용종증 등 주로 과오종성(過誤腫性) 용종이 생기는 질환은, 이 종류의 용종이 비록 암의 전구(前驅) 병변은 아니지만 그 환자들의 대장암 발생 확률이 정상인보다 훨씬 높다는 점에서 유전성 대장암의 연관 범주로 취급합니다. (과오종이란 암세포와는 달리 정상적으로 분화된 세포가 성숙한 단계에서 비정상적으로 성장하여 생긴 양성 종양입니다. 따라서 무한정 자라거나 전이되지는 않습니다. 한편, 전구 병변이란 먼저 나타난 병변이 그에 이어진 보다 중대한 병변을 속발시켰다고 인정되는 경우, 먼저 나타난 것을 이르는 말입니다.)

유전성 대장암의 대표 질환 중 하나로 유전성 비용종증 대장암(hereditary non-polyposis colorectal cancer (HNPCC))이 있습니다. 이것은 비교적 이른 나이에 발생하고, 지금까지 알려진 유전성 종양 중 발생 빈도가 가장 높아서 임상적으로 매우 중요한 위치를 차지하고 있습니다.

유전성 대장 종양의 원인 유전자들은 다음과 같습니다.

대장암의 유형별 원인 유전자

대장암의 유형별 원인 유전자 - 질환, 원인 유전자 정보 제공
질환 원인 유전자
가족성 선종성 용종증 APC
유전성 비용종증 대장암 hMLH1, hMSH2, hMSH6, hPMS1, hPMS2
포이츠 -예거스 증후군 STK11
연소기 용종증 SMAD4(DPC4)

선종성 용종

용종(흔히 ‘폴립’이라고 하며 위장관 점막의 조직이 부분적으로 과도하게 증식하여 혹처럼 튀어나온 것)은 양성 종양이지만 그 가운데 조직학적으로 선종성(腺腫性)으로 분류하는 용종은 악성 종양, 즉 대장암으로 진행할 수 있습니다.

선종성 용종은 그냥 ‘선종’이라고도 하는데, 크기가 클수록(표면 직경 1.0cm 이상), 조직 검사에서 세포의 분화가 고등급 이형성증(異形成症)을 보일수록, 그리고 융모(絨毛, villus) 같은 특성을 보일수록 발암성이 높다고 알려졌습니다. 융모란 소장의 내벽에 존재하는 구조물로 작은 손가락처럼 삐죽삐죽 솟아 털처럼 내벽을 덮고 있으며 소화된 영양분이 넓은 면에 닿아 효율적으로 흡수될 수 있도록 소장의 내벽 총면적을 증가시키는 구조를 의미합니다.

가족성 용종증 이미지

[가족성 용종증]

염증성 장질환

염증성 장질환은 크게 궤양성 대장염(ulcerative colitis)과 크론병(Crohn’s disease)으로 나눌 수 있습니다. 염증성장질환은 만성(6개월 이상)으로 발생하는 장에 염증이 생기는 질환입니다. 만성 염증성 장질환은 원인이 명확하게 밝혀지지 않았고 병에 영향을 주는 여러가지 원인 및 기전들이 밝혀지고 있습니다. 이런 질환이 있으면 대장암 발병 위험도가 4배에서 20배까지로 상승합니다. 또한 이로 인한 대장암은 일반 대장암보다 20~30년 일찍 발생하는 것으로 알려졌습니다. 따라서 염증성장질환을 진단 받고 대장암 발생 감시를 위해서 진단 후 약 10여년부터 정기적인 대장내시경 검사가 필요합니다.

궤양성 대장염 이미지

[궤양성 대장염]

일반적 증상

대장암 초기에는 대부분 아무런 증상이 없으며, 증상이 나타날 때는 이미 상당히 진행되었을 경우가 많습니다. 아래는 대장암의 주된 증상입니다.

  • 갑자기 변을 보기 힘들어지거나 변 보는 횟수가 바뀌는 등 배변 습관의 변화
  • 설사, 변비 또는 배변 후 후중기(변이 남은 듯 무지근한 느낌)
  • 혈변(선홍색이나 검붉은색) 또는 끈적한 점액변
  • 예전보다 가늘어진 변
  • 복부 불편감(복통, 복부 팽만)
  • 체중이나 근력의 감소
  • 피로감
  • 식욕 부진, 소화 불량, 오심과 구토
  • 복부에서 종물(腫物) 즉 덩어리 같은 것이 만져짐

암의 증상은 종양의 발생 위치와 종류에 따라 다르게 나타납니다. 복부 우측의 맹장과 상행결장에 종양이 생기면 폭이 넓고 대변이 아직 묽은 상태인 부위이기 때문에 장폐색을 일으키는 일이 별로 없습니다. 대신 이곳의 병변은 흔히 만성적인 출혈과 그에 따른 빈혈을 유발합니다. 반면 좌측 결장(하행결장과 에스상결장)에 생기는 병변은 흔히 장폐색 증상을 일으키고 대부분의 환자들은 배변 습관에 변화가 생겼다고 호소합니다.

종양의 위치에 따른 증상은 다음과 같습니다.

우측 대장암

  • 설사
  • 소화 불량
  • 복부 팽만
  • 복통
  • 빈혈에 의한 제반 증상
  • 체중 감소
  • 근력 감소
  • 덩어리가 만져짐

좌측 대장암

  • 배변 습관 변화
  • 변비
  • 혈변/점액변
  • 장폐색

직장암

  • 변비 혹은 설사
  • 혈변
  • 배변 후 변이 남은 느낌
  • 배변 시 통증

진단방법

개요

일부 대장암은 직장의 수지(手指)검사만으로도 진단이 가능합니다. 40세 이후에는 매년 1회의 직장수지검사가 권장됩니다. 이 외에 대장이중조영, 에스상결장경, 대장내시경 등을 이용한 검사가 있는데, 이중 대장 전체의 관찰이 가능하고 조직검사까지 동시에 할 수 있는 대장내시경이 가장 효과적이고 정확한 검사 방법으로 추천되고 있습니다.

진단 검사의 종류

대장암을 진단할 수 있는 검사의 종류는 다음과 같습니다.

직장 수지 검사

이 검사는 의사가 윤활제를 바른 장갑을 끼고 직장에 손가락을 삽입하여 비정상적인 덩어리가 만져지는지를 보는 것입니다.

암태아성 항원검사

암태아성 항원(癌胎児性抗原, CEA, carcinoembryonic antigen)은 태아 시기에 정상적으로 만들어지는 일종의 당단백질입니다(‘태아성 암항원’이라고도 합니다). 정상적으로는 태어나기 전에 이 물질의 생산이 중단됩니다. 그러므로 성인에게서 신생아보다도 높은 CEA 수치가 나온다면 대장암이나 다른 암이 있을지 모른다는 것을 의미합니다. 그러나 CEA 수치는 간경변증을 비롯한 간질환이나 알코올성 췌장염 환자, 그리고 흡연자에게서도 증가할 수 있습니다. 따라서 이 검사는 수술 전에 암의 병기(진행 단계)를 판단할 때, 치료의 효과를 알아보려 할 때, 또는 암의 재발을 확인할 때 보조적인 방법으로 쓰입니다.

분변잠혈반응검사

잠혈(潛血)이란 오줌이나 대변 따위에 화학 검사로나 확인이 가능할 정도로 적은 양의 혈액(즉 잠재혈액)이 섞여 나오는 일, 또는 그런 혈액을 말합니다. 대변을 이용하는 잠혈반응검사(간단히는 ‘잠혈검사’)는 위장관 출혈 여부를 알아보거나 대장암을 조기에 진단하는 데 사용됩니다. 비교적 적은 비용으로 큰 불편 없이 검사가 가능하지만 정확도가 떨어져서 위(僞)음성도, 위양성도가 높습니다. 위양성이란 본래 음성이어야 할 검사 결과가 잘못되어 양성으로 나온 것을 말하며, 위음성은 본래 양성이어야 할 검사 결과가 잘못되어 음성으로 나온 경우입니다.

대장내시경검사

대장내시경검사는 특수한 카메라인 내시경(內視鏡)을 항문으로 삽입하여 대장 내부를 직접 들여다보는 방법입니다. 요즘 사용하는 내시경은 유연한 튜브의 끝에 광섬유로 연결된 카메라가 달려 있습니다. 의사가 직접 출혈 부위와 병변의 표면을 관찰하고 조직 상태를 파악할 수 있으므로 대장 질환의 가장 정확한 진단법입니다. 내시경검사와 동시에 조직검사(생검)을 하는 것도 가능합니다. 짧은 시간만 작용하는 일종의 수면제를 정맥에 주사한 뒤 수면내시경(정확한 용어는 ‘의식하 진정 내시경검사’입니다)을 시행하면 불편감 없이 검사를 받을 수 있습니다. 환자는 검사 전날 저녁 식사를 죽 등으로 가볍게 하고 하제를 복용하여 대장 안에 남아 있는 분변을 모두 제거해야 합니다.

대장내시경검사의 장점은 대장용종의 발견에 매우 민감하며, 발견된 용종을 즉시 제거할 수 있다는 점입니다. 단점은 검사 전 대장정결이 필요하고 수면내시경이 아닐 경우 환자가 불편해 할 수 있고, 암 등으로 대장 내강이 막혀 있으면 더 이상 검사를 진행할 수 없다는 것입니다.

대장암의 대장내시경 소견 이미지

[대장암의 대장내시경 소견]

대장이중조영검사

대장이중조영검사에서는 먼저 항문으로 작은 튜브를 삽입하고 그것을 통해 조영제인 바륨(barium)이라는 조영제(造影劑, 엑스선 영상이 뚜렷이 나오도록 사용하는 물질)와 공기를 대장에 넣으면서, 환자로 하여금 좌우로 돌아눕게 하여 바륨이 대장 점막에 고루 퍼지도록 하고 공기로 대장 내강을 확장시킨 후 엑스선 투시 장치로 영상을 얻어 검사합니다. 검사 전날 저녁에는 죽 등으로 가볍게 식사한 후 밤에 처방 받은 하제를 복용하여 대장 안의 분변을 모두 제거해야 합니다.

단점은 대장 안에 분변이 남아 있을 경우 용종과 구별하기가 어렵고, 용종 가운데 아주 작은 것은 발견이 안 될 수도 있다는 점입니다(용종은 암의 전구 병변으로 알려졌습니다). 또한 용종을 제거할 필요가 있거나 암이 의심되는 경우에는 확진을 위해 조직검사가 가능한 대장내시경검사를 추가로 받아야 합니다.

대장암의 대장이중조영검사 소견 이미지

[대장암의 대장이중조영검사 소견]

전산화단층촬영

전산화단층촬영(CT, computed/computerized tomography)은 대장암 자체의 진단 외에도 종양의 확산을 평가하는 데 유용한 방사선 검사법입니다. 특히 종양이 장의 벽을 넘어 주변 조직이나 다른 장기를 침범했을 가능성이 있을 때 진단에 큰 도움이 되며, 간이나, 폐, 림프절 등으로의 전이 여부를 검사할 때 가장 널리 사용되는 방법입니다.

보통의 전산화단층촬영에서는 전날 특별한 처치를 할 필요가 없으며, 검사 당일에 8시간쯤 금식만 하면 됩니다. 촬영 시 환자에게 정맥주사로 조영제를 주입하는데, 신장(콩팥)의 기능이 떨어져 있는 환자, 당뇨약 중에 메트포민을 복용하고 있는 환자, 이전에 조영제에 대한 알레르기 반응, 즉 심한 구토나 발적(發赤, 피부나 점막이 빨갛게 부어 오름), 두드러기, 가려움증, 목이 붓고 쉬는 듯한 증상을 보인 적이 있는 환자는 사전에 담당 의사와 상의해야 합니다.

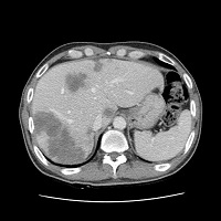
간으로 전이된 직장암의 CT소견 이미지

[간으로 전이된 직장암의 CT소견]

전산화단층촬영 가상내시경검사

전산화단층촬영(CT) 가상내시경검사는 전산화단층촬영 대장조영술이라고도 불리며 최근 도입되어 관심을 모으고 있는 진단 방법입니다. 항문을 통해 작은 튜브를 넣고 공기 또는 이산화탄소만을 주입하여 대장을 부풀린 뒤 나선식 전산화단층촬영기를 이용하여 얇은 절편(1~3mm 간격)의 연속적 단면 영상을 얻고, 컴퓨터 소프트웨어를 이용하여 이를 3차원의 다평면 영상으로 재구성하면 마치 내시경으로 보는 듯이 대장 내부를 검사할 수 있습니다. 다시 말해서, 3차원의 가상(virtual) 내시경 영상으로 대장암과 대장용종을 발견하는 기법입니다. 검사를 받으려면 전날 저녁에 죽 등으로 가볍게 식사를 한 후 밤이 되면 처방 받은 하제를 복용하여 대장 내부에 남아 있는 분변을 없애야 합니다.

대장내시경에 비해 간편하고 환자가 느끼는 불편감도 적으며, 5mm 이상 크기의 용종 발견율이 대장내시경과 비슷할 정도로 섬세하다는 것이 이 검사의 장점입니다. 또한 대장내시경과 달리, 병변이 장의 내강을 폐쇄했다 해도 그 너머까지 모두 검사할 수 있습니다. 아울러 대장 바깥 복강 내의 간, 담낭, 췌장, 비장, 신장 등 다른 장기들까지 살펴볼 수 있습니다.

단점은 대장내시경에 비해 5mm 이하 용종과 대장 내강으로 돌출되지 않고 납작한 용종의 발견율이 낮고, 장내에 남아 있는 분변과 용종의 감별이 어려운 경우가 가끔 있다는 점, 그리고 환자가 엑스선(방사선)을 쐬어야 한다는 점입니다. 또, 용종이 발견되어도 즉시 제거할 수 없으므로 다시 대장내시경을 시행해야 합니다.

자기공명영상(MRI)

대장암 자체의 진단에는 자기공명영상(MRI, magnetic resonance imaging)이 비용문제나 검사 과정 등 다른 검사에 비해 몇 가지 단점이 더 있기 때문에 그다지 적합하지 않습니다. 그러나 2cm정도의 작은 암세포도 찾을 만큼 영상이 정밀하고, 종양이 악성인지, 다른 기관으로 전이가 되었는지를 파악하는 데는 전산화단층촬영(CT)보다 정확해서, 추가로, 혹은 간 내의 전이암 개수를 정확히 파악하고자 할 때 보조적으로 사용합니다. 또한 전산화단층촬영(CT)보다 연부조직 간의 구분이 명확하기 때문에 직장암 진단 후 암의 주변 파급 범위를 파악하는 데 유리해서, 치료 방침 결정을 위해 병기를 파악할 때 시행하는 검사로 점점 더 많이 이용되고 있습니다. 연부조직(soft tissue)이란 신체를 결합하고 지지하는 조직들 중에서 연골과 뼈, 혈액, 조혈조직 따위를 제외한 나머지 근육, 인대, 지방, 혈관, 신경, 힘줄, 섬유조직 등을 총칭하는 말입니다.

자기공명영상검사(MRI)는 전산화단층촬영(CT)과는 다른 조영제를 주사하므로 전산화단층촬영(CT)용 조영제에 알레르기 반응을 보이는 환자에게도 시행할 수 있습니다. 단점은 전산화단층촬영(CT)검사나 직장 초음파검사에 비해 비용이 많이 들고, 검사 시간도 30분 내외로 전산화단층촬영(CT)에 비해 길며, 좁은 원통형 공간에 들어가 있어야 하므로 폐쇄공포증이 있는 경우에는 검사를 받기가 어렵다는 점입니다.

복부 초음파검사와 직장 초음파검사

복부 초음파검사는 소장과 대장의 이상을 판단케 해주는 정보가 제한적이어서 대장암 진단의 민감도가 매우 낮습니다. 따라서 암의 진단 자체보다는 주로 복강 내 장기로의 전이를 파악하는 데에 전산화단층촬영(CT)과 상호 보완하면서 사용되는 검사입니다. 특히 간 전이를 발견하는 데 유용합니다.

초음파검사 방법 중 항문을 통해 시행하는 직장 초음파검사는 직장암을 비교적 쉽게 찾아내며, 자기공명영상과 비슷한 정확성으로 암의 침범 깊이를 파악하고 주변의 커진 림프절을 발견할 수 있는 검사입니다. 따라서 병기 판정을 통한 직장암의 치료 방침 결정과 환자의 예후 판정을 위해 수술 전에 시행하곤 합니다.

양전자방출단층촬영(PET) 및 양전자단층촬영/전산화단층촬영복합영상(PET/CT) 검사

양전자방출단층촬영(PET)은 일반적으로 암세포가 정상 세포에 비해 대사 활동이 빠른 점을 이용하는 검사법입니다. 포도당에 양전자 방출체(방사성 동위원소)를 표지 물질로 부착시켜 주사한 후, 이 물질에서 방출되는 감마선을 통해 암세포를 발견합니다. 그러나 여기서 얻어지는 영상은 해부학적인 정보가 뚜렷하지 못해서 때로는 암이 아닌 염증 등의 병변도 양성으로 보인다는 단점이 있습니다. 그리하여 양전자방출단층촬영(PET) 검사와 함께 전산화단층촬영(CT)도 시행하여 두 검사의 결과를 하나의 영상으로 조합함으로써 양전자방출단층촬영(PET)만 했을 때의 단점을 극복한 양전자단층촬영-전산화단층촬영복합영상(PET-CT) 검사가 개발되었습니다.

양전자방출단층촬영(PET) 검사는 다른 검사에 우선하거나 단독으로 시행되는 일은 드물고, 수술 전 전산화단층촬영(CT) 검사에서 간 전이 등이 의심될 때 자기공명영상과 함께 전이 사실을 확인하거나 전이암의 개수를 정확하게 파악하는 데 사용됩니다. 또한 수술 후의 추적 전산화단층촬영(CT) 검사에서 재발이나 전이가 의심되는 경우에 추가로 많이 사용됩니다.

치료방법

개요

대장암의 치료 방법을 결정하는 데서 중요한 것은 종양의 크기가 아니라 종양이 조직을 침투한 정도입니다. 대개 수술과 항암화학요법, 방사선치료를 적절히 병행합니다.

대장암의 병기별 치료 방법은 다음과 같습니다.

대장암의 병기별 치료 방법

대장암의 병기별 치료 방법 - 병기, 치료방법 정보 제공
병 기 치료방법
대장암 1 기

근치적 수술 ( 시술 ) 후 추가 치료 없이 경과 관찰

결장암 2 기및 3 기

근치적 수술 후 보조 항암화학요법

직장암 2 기및 3 기

근치적 수술 후 방사선 치료나 항암화학요법 ( 경우에 따라 병용 )
또는 수술 전 방사선치료나 항암화학요법 ( 경우에 따라 병용 )

대장암 4 기
  • 환자의 전신상태에 따라 항암화학요법 시행
  • 필요한 경우 생명 연장을 위해 고식적(완치가 목적이 아닌 상태 완화를 위한) 수술이나 방사선치료를 검토할 수 있음
  • 기타의 병용요법은 다기관 연구결과에 의해 선택될 수 있음

수술적 치료

대장암의 가장 근본적인 치료법은 수술입니다. 대장암에 적절한 수술 원칙은 종양을 중심으로 하여 원위부(遠位部, 종양의 아래쪽)와 근위부(近位部, 종양 위쪽) 양 방향으로 종양과 충분히 떨어진 곳까지 대장을 절제하고, 아울러 림프절도 광범위하게 절제하는 것입니다. 대장암의 경우에는 개복을 하지 않고 복강경을 통해 수술할 수도 있습니다. 복강경수술이란 개복수술과 달리 커다란 절개창(切開創)을 내지 않고 복강경용 카메라와 복강경수술용 기구들이 들어갈 작은 구멍들(절개공)만을 내어 그것을 통해 수술하는 방법을 말합니다. 절개 부분이 작고 수술 시 주위 장기에 대한 손상이 적기 때문에 수술 후 통증이 적고 회복도 빨라서 일상생활로 빨리 복귀할 수 있다는 장점이 있습니다. 입원 기간이 짧아져 경제적인 측면에서도 이점을 보입니다. 상처가 작으므로 미용적 측면에서도 좋습니다.

복강경 수술 이미지

[복강경 수술]

내시경적 절제술

암세포의 분화도가 좋고, 혈관이나 림프관을 침범하지 않았으며, 점막 또는 점막하 조직 일부에만 국한되어 있다는 등의 조건을 모두 충족하는 조기 대장암은 내시경적 절제술만으로도 치료가 가능합니다. 잘라낸 조직을 면밀히 검토한 결과 암의 침윤 정도가 깊거나 세포의 분화도가 나쁠 경우, 또는 혈관이나 림프관을 침범한 소견이 보일 때는 2차적으로 개복수술이나 복강경수술을 시행하여 대장을 광범위하게 절제해야 하는 경우도 있습니다.

내시경적 절제술만으로 치료를 받은 경우에도 정기적으로 추적검사를 받아야 합니다.

대장암의 내시경적 용종 절제술 이미지

[대장암의 내시경적 용종 절제술]

대장암의 위치에 따른 수술 방법

종양의 위치에 따라 절제하는 범위가 다음과 같이 달라집니다.

결장에 생긴 암
  • 맹장, 상행결장 및 횡행결장의 근위부(대장 입구에 가까운 부분)에 위치한 암: 소장의 일부와 횡행결장 일부까지 제거하는 우측 결장절제술을 시행합니다. 절제 후에는 소장 끝 회장(回腸)과 횡행결장의 잘린 단면들을 서로 이어 주는 회장결장문합술(吻合術)을 시행합니다. 문합술은 ‘연결술’이라고도 하며, 몸 속의 장기들(위와 장, 장과 장, 혈관과 혈관)을 맞물려 잇는 수술을 가리킵니다.
    우측결장 절제술 이미지

    [우측결장 절제술]

  • 횡행결장 중앙부에 위치한 암: 횡행결장 전체를 제거하는 횡행결장절제술을 시행하고 절제 부위 양쪽의 결장을 서로 연결합니다.
    횡행결장 절제술 이미지

    [횡행결장 절제술]

  • 횡행결장의 말단부, 하행결장에 위치한 암: 좌측 결장절제술을 시행합니다.
    좌측결장 절제술 이미지

    [좌측결장 절제술]

  • 에스상결장에 위치하는 암: 상부 직장 및 에스상결장을 골반복막의 상부에서 절제하고 문합하는 전방절제술(前方切除術)을 시행합니다.
    에스자결장 절제술 이미지

    [에스자결장 절제술]

직장에 생긴 암

직장은 편의상 상부(항문연 12cm 이상), 중간부(항문연 6~12cm) 및 하부(항문연 6cm 이하)의 세 부분으로 나뉩니다.

  • 조기 직장암: 종양이 항문연(肛門緣, 항문관의 가장 아랫부분)으로부터 8cm 이내에 있고 근육층 침범과 림프절 전이가 없으며 종양의 크기가 4cm 이하인 조기 직장암은 항문을 통하여 국소절제을 시행합니다.
  • 상부 직장에 위치한 암: 직장의 상부, 즉 항문으로부터 12cm 이상 위쪽에 발생한 암은 상부 직장 및 에스상결장을 골반복막의 상부에서 절제하고 문합술을 시행하는 전방절제술이나 골반복막을 절개하고 중치핵동맥을 포함한 직장의 측면 구조물들을 절제한 뒤에 문합술을 시행하는 저위(低位)전방절제술을 시행합니다.
  • 중간부 직장에 위치한 암: 항문으로부터 6~12cm 위치에 있는 직장암은 가급적 모든 수단을 동원하여 항문을 보존하는 괄약근보존술을 시행하는 것이 일반적 원칙입니다. 주로 저위 전방 절제술이나 초저위전방절제술입니다. 초저위전방절제술은 직장의 대부분을 절제하여 항문거근 높이에서 문합하는 방법입니다. ‘자동단단 문합기’라는 기구를 이용하거나 직접 결장과 남아 있는 직장을 이어주게 됩니다.
    자동단단 문합기 이미지

    [자동단단 문합기]

  • 하부 직장에 위치한 암: 종양이 항문으로부터 3~5cm에 위치하는 일부 직장암의 경우, 항문 괄약근을 침윤하지 않았고 항문 기능을 보존할 수 있다고 판단되면 수술 전 방사선치료와 항암치료를 통해 괄약근보존술을 시행할 수 있습니다. 그러나 암이 항문 괄약근을 침윤했거나 항문 기능 보존이 불가능하다고 판단되는 경우에는 대부분 복회음(腹會陰)절제술을 시행합니다. 복회음절제술이란 복부와 회음부를 통하여 암이 있는 부위의 직장과 결장의 일부를 절제하고 남아 있는 결장의 끝을 대변의 배출 통로인 인공 항문(장루)으로 만드는 수술입니다.
    복회음 절제술 이미지

    [복회음 절제술]

항암화학요법

항암화학요법이란 환자에게 항암 약제를 주사하거나 복용토록 하여 암을 치료하는 방법입니다. 상황에 따라 하나의 약제만 사용하기도 하고, 여러 약제를 동시에 병합하여 쓰기도 합니다. 항암약물은 전신으로 전달되므로 대장에 있는 암뿐만 아니라 간이나 폐 등으로 전이된 암에도 효과를 보이는 전신 치료법입니다.

대장암에서 항암화학요법은 크게 4가지의 목적으로 사용됩니다.

  • 수술 후 재발의 위험을 낮추기 위한 보조적 치료법
  • 2-3기 직장암에서 수술 전 또는 수술 후 방사선치료의 효과를 높이기 위해 함께 투여
  • 간 또는 폐에 국한된 전이암에서 수술이 가능하도록 종양의 크기를 줄이기 위한 선행화학요법
  • 전이나 재발이 되었을 때 생명 연장을 위한 고식적(姑息的, palliative, 완치가 목적이 아닌 생명을 연장시키고 증상 조절을 위한) 목적

대장암 치료에 사용되는 항암제의 종류

대장암의 항암제로는 5-플루오로유라실(5-FU, fluorouracil), UFT(tegafur-uracil), 카페시타빈(capecitabine) 같은 플루오로피리미딘(flouropyrimidine)계열 약물들과 이리노테칸(irinotecan), 옥살리플라틴(oxaliplatin) 등이 널리 이용되어 효과를 보고 있습니다. 또한 2000년대 중반에 개발된 표적치료제인 베바시주맙(bevacizumab, 상품명 아바스틴) 및 세툭시맙(cetuximab, 상품명 얼비툭스)이 2014년 3월부터 재발, 전이암에서의 일차요법으로서 건강보험급여대상이 되어 점차 많이 이용되고 있습니다.

주사제인 5-FU는 지난 60년 동안 대장암 항암치료의 근간이 되어왔으며, 카페시타빈은 체내에서 5-FU로 전환되는 경구약으로서 주사제 투여의 불편을 줄였습니다. 이리노테칸, 옥살리플라틴, 베바시주맙과 세툭시맙은 모두 정맥으로 투여되는 주사제입니다. 이들 약제는 단독으로 투여되기도 하고, 2-3개의 약제를 조합하여 투여되기도 합니다. 함께 투여되는 약제의 가짓수가 많아질수록 효과는 증대되지만 부작용도 늘어납니다. 종양의 상태 (수술적으로 제거된 상태인지, 향후 수술적 제거를 목표로 하는지, 고식적 목적의 치료인지)에 따라 선택약제의 종류와 가짓수가 달라질 수 있습니다. 그리고 환자의 전신상태와 연령, 동반질환에 따라 부작용의 발생빈도도 달라지므로 처방은 환자마다 조금씩 달라질 수 있습니다.

대장암 치료에 사용되는 표적치료제

앞서 언급한 베바시주맙과 세툭시맙 이외에도 대장암(재발성, 전이성의 경우)에 사용되는 표적치료제로 레고라페닙(regorafenib, 상품명 스티바가)이 2013년 국내 승인 및 시판이 시작되었습니다. 또한 아플리버셉트(aflibercept, 상품명 잘트랩)가 역시 2013년 국내 시판허가를 받았으나 아직 시판이 되지는 않고 있습니다. 표적치료제는 항암화학요법제와 함께 투여되는 경우(베바시주맙, 세툭시맙, 아플리버셉트)가 항암화학요법제만 투여하는 경우보다 질병 진행을 늦추고 일부에서 생존기간을 연장시킬 수 있는 효과가 있었으며, 항암화학요법제 치료 후 내성을 보인 전이성 대장암에서 단독으로 투여된(세툭시맙, 레고라페닙) 경우에도 생존기간의 연장 효과가 있었습니다. 표적치료제는 일반적으로 항암화학요법제에서 흔히 나타나는 구토, 탈모, 피로나 혈구감소증으로 인한 감염, 출혈의 위험이 적은 반면 고혈압, 단백뇨, 동맥혈전증, 수술부위 상처회복지연(베바시주맙, 아플리버셉트, 레고라페닙) 및 피부발진, 저마그네슘혈증(세툭시맙)과 같은 독특한 부작용이 나타납니다. 2016년 현재 표적치료제는 전이성 대장암에서 일차요법으로 사용되는 베바시주맙과 세툭시맙에 국한하여 건강보험적용이 되고 있고, 베바시주맙의 경우에는 일차 및 이차 요법, 세툭시맙의 경우에는 일차 요법에 한하여 보험적용이 되고 있습니다. 전이성 대장암 치료의 일차요법에 국한하여 베바시주맙은 RAS 유전자형에 관계없이 폴피리(이리노테칸과 5-FU 병합의 전이성 대장암 치료의 표준약제)/폴폭스(옥살리플라틴과 5-FU 병합의 전이성 대장암 치료의 표준약제)와 병합 사용시, 세툭시맙의 경우는 RAS 유전자가 자연형(wild-type)일 경우 폴피리와 병합 사용시에 보험적용이 인정되고 었습니다. 레고라페닙과 아플리버셉트는 건강보험적용대상이 아닙니다. 표적치료제의 약제비는 1개월 기준 200-750만원 사이로 매우 고가이고, 이들 약제들이 생존기간 연장 효과는 보였으나 병의 완치를 목표로 투여되는 것은 아니므로 담당 의사와 충분히 상의한 후 결정해야 합니다.

대장암 치료에 사용되는 면역항암제

최근 여러 암종에서 항 PD-1 면역항암제가 우수한 항종양 효과를 보이고 있습니다. 항 PD-1 면역항암제 중에서 펨브로리주맙을 표준 치료에 진행한 DNA 오류 복원력 결핍 (mismatch repair–deficiency) 이 있는 전이성 대장암 환자에게 투여하여 40% 의 반응률을 얻었으며, 이러한 항종양 효과가 지속되는 결과가 권위있는 의학 저널인 New England Journal of Medicine 에 발표되었습니다. 하지만 어떠한 대장암 환자에서 이러한 면역항암제가 효과가 있을지에 대해서는 아직까지는 잘 모르는 상태이며, 이에 대한 연구가 활발하게 진행되고 있습니다. 국내에서는 아직 면역항암제가 대장암 환자를 대상으로 허가가 되지는 않았습니다. 임상연구들의 결과가 축적이 되면 대장암에서도 사용여부가 결정이 될 것으로 생각합니다.

4기 대장암 항암화학요법의 발전과 생존 이미지

[4기 대장암 항암화학요법의 발전과 생존]

대장암(결장암과 직장암) 수술 후 항암화학요법을 하는 시기와 효과
대장암(결장암과 직장암) 수술 후 항암화학요법을 하는 시기와 효과 - 병기, 1기, 2기, 3기, 4기 정보 제공
병기 1 기 2 기 3 기 4 기
항암화학요법 재발 가능성이 낮으므로 항암화학요법 하지 않음 논란이 있으나 재발 위험이 높을 경우 항암화학요법을 권유 받을 수 있는데 , 담당 의사와 충분히 상의하여 결정하도록 함 재발율을 낮추기 위해 보조항암화학요법을 시행하는 것이 표준 치료임 증상완화치료만 하는 경우보다 항암화학요법을 받으면 수명을 연장하고 종양관련증상을 줄여 삶의 질을 향상시킬 수 있음 . 일부 수술이 가능한 전이가 있는 경우 완치를 기대할 수 있음
생존율 90% 이상 대장암 2 기 A 의 5 년 생존율은 80% 이상이나 2 기 B, 2 기 C 의 경우에는 3 기와 비슷한 예후를 보임 수술만 시행시 5 년 생존율은 약 50~60% 이며 , 보조 항암화학요법으로 치료시 5 년 생존율은 약 70~80% 임 수술 불가능한 전이암의 경우 , 항암화학요법으로 치료받은 경우 생존기간의 중앙값은 약 27-30 개월임

항암화학요법의 기간

암을 완전히 절제한 경우(2기, 3기 및 4기 일부), 재발 가능성을 줄이기 위해 보조항암화학요법을 6개월 동안 시행합니다. 수술이 불가능하거나 수술 후 암의 일부가 남아있는 경우에는 항암화학요법 기간을 미리 정할 수 없습니다. 항암제에 대한 반응, 부작용의 정도, 환자의 건강 상태 등에 따라 치료 기간이 달라져서, 조기에 종료하기도 하고 1년 이상 계속하기도 합니다.

항암화학요법을 중간에 멈추는 경우

항암화학요법에도 불구하고 질병이 진행되거나 환자가 부작용을 감당하기 어려운 경우에는 치료를 중단하는 수가 있습니다. 그와 반대로, 항암제가 최대한의 효과를 얻었다고 판단되는 경우에도 치료를 일시 중단하고 결과를 관찰할 수 있습니다.

방사선 치료

방사선치료는 국소적인 치료법으로, 진행성 직장암에서 재발 가능성이 높은 경우, 즉 병기가 2기나 3기인 암의 수술 전 또는 수술 후에 보조적 치료로 흔히 이용됩니다. 하지만 4기라 할지라도 절제가 가능한 원격전이인 경우에는 보조적 방사선치료를 할 수 있고, 1기 암에서 국소 절제 후 재발을 막고자 시행하기도 합니다. 아울러 수술이 불가능하거나 시행하기 어려울 때 1차 치료 방법으로 이용될 수 있습니다. 한편, 직장암의 위치나 크기로 인해 항문 기능을 보존하는 수술이 어려운 경우에 수술 전 방사선치료로 종양의 범위를 줄임으로써 항문을 살리게 될 때도 있습니다.

직장암의 경우, 방사선치료는 단독 시행이 드물고 대부분 항암화학요법과 병용합니다. 이렇게 하면 항암제가 방사선의 효과를 증강시켜 국소 재발 확률이 낮아지고 생존율이 향상되는 효과가 있습니다.

방사선치료의 기간

방사선치료는 매일 10~20분쯤, 월요일부터 금요일까지 주 5회를 통원하며 받습니다. 치료 기간은, 수술 전이나 후의 보조적 치료라면 대개 6주 전후, 수술을 하지 않는 1차 치료나 재발한 암의 경우에는 7~8주입니다. 경우에 따라서는 짧게 2~4주만 하는 수도 있으나 이는 예외적입니다.

예방법

병의 예방과 관련하여 흔히 ‘1차 예방(primary prevention)’과 ‘2차 예방(secondary prevention)’을 구분합니다. 1차 예방은 질병에 걸리기 이전 상태에 대응하는 예방 활동을 말하며, 2차 예방이란 걸려있는 질병을 조기에 발견하고 적절히 치료하여 악화를(질병에 따라서는 전염도) 방지하는 것을 말합니다. 나아가 ‘3차 예방(tertiary prevention)’이라는 것도 있는데, 이는 병이 진행된 환자를 대상으로 더 이상의 악화와 합병증 및 후유증의 발생을 막고 재활치료와 자기관리 등을 통해 신체 기능의 유지와 삶의 질 향상을 도모하는 조치들을 말합니다.

대장암이 아예 발생하지 않도록 하는 1차적 예방은 현재로선 거의 불가능합니다. 무슨 암이든 그 발생 원인을 어느 한 가지로 단정 지을 수 없으며, 또한 대장암의 여러 원인 중에는 유전적 소인, 가족적 소인처럼 우리가 선택하거나 피해 갈 수 없는 것들도 있기 때문입니다.

그러나 정기적인 검사를 통하여 대장암을 조기에 발견하여 치료하는 2차 예방은 상당히 효과적입니다. 증상이 없는 저위험군인 경우, 45세 이후부터 5~10년마다 대장내시경검사를 받아야 합니다. 본인에게 궤양성 대장염, 크론병, 포이츠-예거스 증후군, 가족성 선종성 용종증 따위가 있거나 가족 중에 연소기 용종, 대장암 혹은 대장용종, 가족성 선종성 용종증, 유전성 비용종증 대장암 환자가 있는 고위험군은 전문의와 상담한 후 검사 방법과 검사 간격을 정하여 정기적으로 대장내시경검사를 받아야 합니다.

이제 식생활에서 대장암을 1차적으로 예방하는 방법을 소개하겠습니다.

대장암 예방과 음식의 관련성

섭취하는 칼로리의 총량이 크면 대장암에 걸릴 위험성이 커집니다.

음식의 종류와 상관없이 섭취하는 총 칼로리가 높을수록 대장암의 위험도가 높아진다는 것이 많은 연구를 통해 밝혀졌습니다. 이와 연관하여, 비만도 대장암의 위험도를 높입니다.

붉은 고기와 고단백질•고지방 식이는 칼로리가 높고 발암물질을 발생시켜 대장암의 위험도를 높일 수 있습니다.

고기 섭취량과 대장암 위험도의 관계에 대해서도 연구 결과가 많이 나와 있습니다. 고기 중에서도 붉은 고기의 섭취가 대장암 발생 가능성을 증가시킨다는 사실이 전향적 코호트 연구(prospective cohort study)에서 밝혀지고 있습니다(‘코호트’란 출생 시기가 같거나 조사 주제와 관련된 어떤 특성 혹은 경험을 공유하는 집단을 말합니다. ‘전향적’이란 조사가 연구 개시 시점 이후를 대상으로 한다는 뜻입니다). 붉은색 고기란 쇠고기, 돼지고기, 양고기 따위 붉고 어두운 색의 고기로, 생선이나 닭 가슴살 같은 흰색 고기와 구별됩니다. 붉은색 고기가 왜 대장암에 잘 걸리게 하는지에 대해서는 아직까지 확실한 근거가 발견되지 않았지만, 대부분 지방 함유량이 많이 칼로리가 높을 뿐 아니라 튀기거나 불에 직접 굽거나 훈제하는 등의 요리 방법이 발암물질을 생성시키는 것이 주된 요인으로 보입니다.

고단백질 식이도 그 자체가 대장암 발생 가능성을 키운다는 명확한 근거는 부족하나, 과다한 고단백 섭취로 총 칼로리가 올라가는 것이 대장암의 위험도를 높인다고 생각됩니다.

지방은 대장 점막을 자극하는 담즙산의 분비를 증가시킬 뿐 아니라 장내 세균에 의해 발암물질로 바뀌어 대장 상피를 비정상적으로 성장하게 합니다. 섭취하는 지방의 종류와 대장암 위험도의 관계에 대한 연구 중 2004년에 발표된 Lin J. 등이 진행한 대규모의 코호트 연구에서는, 총 지방 섭취량과 대장암 발병 위험은 별 관련이 없으나 트랜스 지방산이 다량 함유된 음식을 많이 먹으면 대장암 발생 위험이 의미 있게 증가한다는 결과가 나왔습니다. 트랜스 지방산은 식물성 지방을 고형화하고 산패(酸敗, 술이나 지방 따위 유기물이 분해되거나 산화하여 맛과 색이 변하고 불쾌한 냄새가 나는 것)를 막기 위해 수소를 첨가하는 과정에서 생성되며, 고온의 기름으로 조리하는 과정에서도 만들어집니다. 이 지방산이 많은 음식으로는 팝콘, 감자 튀김, 라면, 냉동 피자, 도넛 등이 있습니다.

섬유소를 많이 섭취하면 대장암 발병 가능성이 낮아집니다.

섬유소가 풍부한 음식을 먹었을 때 대장암 발병률이 낮아진다는 것이 많은 연구들의 결론입니다. 그 정확한 기전은 모르지만, 섬유소는 대장의 내용물을 희석시키고 장을 통과하는 시간을 줄이며, 대변의 부피를 늘리는 작용을 합니다.

칼슘 섭취도 대장암의 위험도를 낮춥니다.

칼슘은 담즙산, 지방산과 결합함으로써 이들이 대장 상피세포에 유해하게 작용하는 것을 막는다고 알려졌습니다. 최근의 일부 임상시험과 전향적 코호트 연구들에서는 칼슘의 섭취가 대장암과 그 전구 병변인 대장 선종의 발생을 유의미하게 감소시킨다는 결과가 나왔습니다. 그러나 효과적인 칼슘 섭취량에 대해서는 아직 많은 연구가 필요합니다.

나쁜 생활습관이 대장암의 위험을 높입니다.

거의 종일 앉아서 일하는 등 육체적 활동이 적은 직업에 종사하는 사람은 대장암의 위험이 커지는데, 특히 결장암과의 상관관계가 더 높습니다. 다시 말해, 육체적 활동량이 적을수록 결장암의 위험도가 높아진다고 알려졌습니다. 한편, 과도한 음주는 특히 남자의 경우에 직장암의 위험을 키우며 흡연은 대장 선종과 대장암의 위험도를 모두 증가시킵니다.

[내용, 사진 출처 : 국가암정보센터 http://www.cancer.go.kr]