본문 바로가기 대메뉴 바로가기

건양대학교병원

아주리온(7M12)

심장혈관조영기(Azurion 7M12)이미지
최첨단 디지털 심장혈관조영기 아주리온

아주리온(Azurion 7M12)

중재시술 또는 혈관조영술이란, 인체 내의 혈관에 카테터(catheter)라는 2mm 내외의 가는 관을 넣고 조영제를 주입하면서 엑스선을 조사해 혈관 영상을 얻는 방법이다. 이를 통해 혈관에 생긴 이상 병변을 진단하거나 적절한 치료를 행하는데, 외과적 수술에 비해 최소침습적인 시술로 환자의 신체적 부담이 적기 때문에 점차 선호도가 높아지는 시술법이다. 필립스의 최신 혈관조영진단기기 “Azurion (아주리온) 7M 12”는 혈관의 이상 유무를 조영 진단하고, 더 나아가 심혈관 및 모든 부위의 혈관 중재시술을 시술하는데 쓰이는 초정밀 최첨단 기기이다. 영상의 획득, 처리, 시현 및 저장 과정에서 Smart PRO 플랫폼을 기반으로 더욱 스마트해진 워크플로우를 구현합니다. Clarity IQ(클래러티IQ) 기술을 기반으로 방사선량을 대폭 줄이면서도 화상의 해상력이 매우 탁월해 안전하면서도 효과적이고 정확한 진단과 치료를 도와준다. 특히 새롭게 도입된 인터벤션 소프웨어의 장착으로 보다 효과적으로 진단이 가능해졌다.

디지털 인터페이스 구현으로 더욱 스마트해진 심혈관조영실

Azurion (아주리온)은 스마트 인터벤션 랩을 구현하는 Smart PRO 플랫폼 기반의 최신 혈관조영진단기기로 심혈관조영실의 복잡한 시술 환경에서 의료진의 워크플로우를 효율적으로 개선시켜준다. 시술실과 조정실의 모든 플랫폼이 더욱 스마트해져 의료진의 불필요한 동선을 없애고, 스텝 간의 커뮤니케이션을 정확히 할 수 있도록 도와줍니다. 태블릿 PC와 같은 스마트 인터페이스를 구현하며 환자 테이블 사이드에서 멀티태스킹이 가능한 TSM(Touch Screen Module) PRO, 실시간으로 시술 영상 및 의료진이 원하는 형태로 레퍼런스 이미지를 다각적으로 보여주는 FlexVision Pro, 조정실의 여러 모니터를 하나의 통합솔루션으로 제공하여 타사의 모든 어플리케이션에 원할하게 접근할 수 있는 FlexSpot 으로 스마트한 인터벤션 랩을 구현한다.

고해상력 영상 기법으로 혈관 질환의 효과적 진단 및 치료

필립스의 Azurion 7M12는 정밀한 영상을 획득할 수 있도록 더욱 새로워진 MRC 200+ 튜브와 12인치 평판형 검출기(flat panel detector)를 사용하여 유리한 진단 정보를 제공한다. 이러한 고해상도 영상으로 의료진은 미소 병변을 비롯하여 혈관 질환을 효과적으로 진단할 수 있게 되었으며, 중재적 시술시 미소 병변을 확인함으로써 보다 정확한 치료가 가능해졌다. 특히, 12인치 디텍터는 심혈관 중재시술 시 보다 넓은 진단영역을 볼 수 있어 효과적인 해부학적 진단이 가능해졌다.

최신3D 인터벤션 소프트웨어로 신속한 진단과 치료 가능

Azurion(아주리온)은 최신 인터벤션 소프트웨어가 탑재되어 있어 심혈관중재시술 시 더욱 용이하게 환자를 시술할 수 있도록 해준다. 최근 도입된 다이내믹 코로너리 로드맵(Dynamic Coronary Roadmap)과 스텐트부스트 라이브 (StentBoost Live)는 복잡하고 어려운 심장 혈관 및 심장 구조 질환의 치료에 성공적인 시술을 할 수 있도록 도와준다. 두 기술 모두 까다로운 심혈관중재시술 시 실시간 레퍼런스로 활용할 수 있어, 시술 시간의 단축, 방사선 피폭 및 조영제 사용량을 최소화할 수 있다.

  • 확산 강조 영상(Diffusion Weighted Imaging)
    Dynamic Coronary Roadmap

  • 혈관 강조 영상(Magnetic Resonance Angiogram) 이미지
    StentBoost Live

  • 척추 자기 공명 영상(Spine Image) 이미지
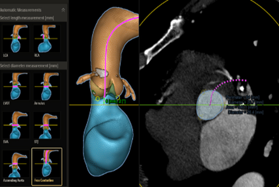
    HeartNavigator

  • 전립선/자궁 자기공명 영상(Prostate/Cervix Image) 이미지
    EchoNavigator

Clarity IQ 기술로 평균 50~85% 방사선량 감소, 환자의 안전 제고

아주리온은 필립스의 강점인 방사사선량 저감 기술인 Clarity IQ 를 기반으로 실시간 최첨단 영상 처리 과정을 활용하여 이미지 퀄러티를 유지하면서도 방사선량을 획기적으로 저감시켰다. 또한, 적용 분야에 따라 적합한 영상을 제공하기 위해 유연한 디지털 이미징 파이프라인(digital imaging pipeline)을 사용하였다. 500개 이상의 시스템 조건들이 개별 적용 분야에 따라 미세 조정된다.

2011년 스톡홀룸 카롤린스카 대학병원(Karolinska University Hospital)에서 동일한 환자를 대상으로 영상품질을 비교한 임상 연구 결과, 필립스 Clarity IQ 기술을 통해 뇌혈관 시술 시 평균 73%에 이르는 상당한 방사선량을 감소시키면서도 기존의 중재 시스템과 동일한 품질의 영상을 제공하는 것으로 나타났다. 심장혈관, 대동맥질환 등의 다른 분야에 대한 연구에서도 50~85% 사이의 감소율을 보이고 있다.

필립스 ClarityIQ 기술을 통해 방사선 피폭량을 줄이면서도 고품질 영상을 얻을 수 있어 의료진들은 진단 및 치료에 대한 정확성과 신뢰를 더욱 향상시킬 수 있게 되었고, 의료진의 피폭 또한 줄어든다. 뿐만 아니라, 환자들의 입장에서는 방사선 피폭 및 합병증을 줄이고 특히 노년층이나 비만 환자들처럼 특수 환자들의 경우에 복잡하고 오랜 시술을 받는 것을 가능하게 해준다는 점에서 의미가 더욱 크다.

아주리온 이미지