본문 바로가기 대메뉴 바로가기

건양대학교병원

3.0T MRI

3.0T MRI 이미지
3.0T만의 특수한 영상기법을 이용하여 전신촬영이 가능한 3.0TMRI 3.0T MRI

기존의 자기공명영상 진단 장치에 비해 신호의 세기와 선명도가 2배이상 높아 인체의 모든 미세 구조를 정확하게 진단합니다.

  • 특수 영상 기법을 이용하여 간질, 치매 같은 대뇌 질환의 해부학적 구조의 변화를 쉽게 진단할 수 있습니다.
  • 종양 및 대사성 질환의 대사 물질 변화를 측정하여 질환의 조기 진단 및 치료를 시행함에 있어 매우 우수한 정보를 제공합니다.
  • 환자에게 투입하는 조영제의 양이 50% 정도 밖에 되지 않기 때문에 환자에게 생길 수 있는 부작용을 최소화 시킬 수 있습니다.
  • 검사 시간이 기존의 장비에 비해 50% 정도 줄어들기 때문에 응급환자나 협소 공포증 환자, 자기 통제가 어려운 환자의 검사 부담을 줄여 줄 수 있습니다.

자기공명 영상 진단장치란?

  • 자석 장치에 환자를 눕히고 외부적으로 고주파를 보낸 후 인체 내의 수소 원자핵으로부터 발생되는 영상 신호를 컴퓨터가 재구성 처리하여 인체의 모든 단면을 영상으로 제고하는 방법 입니다.
  • 검사로 인한 어떠한 통증도 없으며 방사선을 이용하지 않기 때문에 그에 따른 위험 및 피폭이 없습니다.
  • 컴퓨터 단층 진단 장치의 대조도의 우수성, 초음파검사의 비침습적인 장점, 핵의학의 기능적 검사 등 여러 장비의 장점을 모두 갖춘 첨단 장비 입니다.
  • 컴퓨터 단층 진단 장치의 대조도의 우수성, 초음파검사의 비침습적인 장점, 핵의학의 기적 검사 등 여러 장비의 장점을 모두 갖춘 첨단 장비 입니다.

3.0T MRI의 특징

  • 3.0T만의 특수한 영상기법을 이용하여 전신촬영이 가능한 3.0TMRI(자기공명 영상진단장치, 필립스사) 장비 입니다.
  • 고속 촬영이 가능하여 환자의 장시간 촬영에 따른 불편을 해소하였으며 응급환자의 촬영이 가능합니다.
  • 기존의 MRI가 검사시 소음으로 인한 불편함을 크게 개선하였습니다.
  • 3.0T만의 특수한 영상기법을 이용하여 전신 척추 영상을 한번에 얻을 수가 있습니다.
  • 인체내의 미세한 혈관까지도 묘출이 가능합니다.
  • 뇌경색의 조기진단을 위한 확산 및 관류영상이 가능합니다.
  • Functional MRI가 가능하므로 뇌의 기능적 분석이 가능합니다.
  • 심장의 기능 및 관상동맥 질환에 대한 검사가 가능합니다.
  • 영상의 해상력이 뛰어나 정확한 진단이 가능합니다.

고자장 자기공명 영상진단 장치로 가능한 검사

중추신경계

  • 뇌경색
  • 뇌출혈
  • 뇌혈관 질환
  • 퇴행성 질환
  • 뇌기능적 영상
  • 자기공명분광법 (종양의 종류, 간질, 조발성 치매)
  • 디스크 탈출증
  • 척수 종양 등

근, 골격계

  • 무혈성 괴사증
  • 관절 및 인대손상
  • 관절염
  • 근골격암 등

심장질환

  • 선천성 심장질환
  • 심근경색
  • 대동맥 질환 등

간, 담도계

  • 간암
  • 전이성 암
  • 췌장암
  • 담도관암
  • 혈관종 등

비뇨, 생식기계

  • 부인과 질환
  • 자궁암
  • 난소암
  • 전립선암
  • 각종 신장질환 등
  • 확산 강조 영상(Diffusion Weighted Imaging)
    확산 강조 영상
    (Diffusion Weighted Imaging)

    생체 내에서 분자의 확산 정도 차이를 측정하여 영상화 함으로써 3시간 내에 발생한 조기 뇌 경색(brain stroke) 진단이 가능해진 것은 물론이고 조직의 농양, 조직 괴사, 종양의 감별까지도 가능합니다.

  • 혈관 강조 영상(Magnetic Resonance Angiogram) 이미지
    혈관 강조 영상
    (Magnetic Resonance Angiogram)

    특수한 영상기법을 이용하여 인체 내의 미세한 혈관까지도 묘출이 가능합니다.

  • 척추 자기 공명 영상(Spine Image) 이미지
    척추 자기 공명 영상
    (Spine Image)

    기존의 장비보다 우수한 선명도를 제공함으로서 척추 쪽에 발생하는 추간판 탈출증 및 진단에 있어서 매우 탁월한 영상을 제공합니다.

  • 전립선/자궁 자기공명 영상(Prostate/Cervix Image) 이미지
    전립선/자궁 자기공명 영상
    (Prostate/Cervix Image)

    특수한 영상 기법을 이용하여 전립선 암(prostate cander)이나 여성들의 자궁암(cervix caner)등을 진단하는데에 있어서 매우 탁월한 정보를 제공합니다.

  • 전신 혈관 자기 공명 영상(Whole Body Angiogram) 이미지
    전신 혈관 자기 공명 영상
    (Whole Body Angiogram)

    특수한 영상기법을 이용하여 인체 내의 모든 혈관까지도 묘출이 가능합니다.

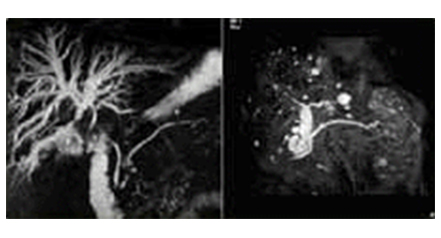
  • 췌담도 자기공명 영상(MRCP) 이미지
    췌담도 자기공명 영상
    (MRCP)

    T2효과가 매우 강조된 영상 기법을 이용하여 췌관액이나 담즙의 고신호강도와 주변 조직간의 신호 차이를 최적화 시킴으로써 담도와 췌관을 영상화 합니다. 특히 담도가 폐쇄된 부위의 상부 담도 조영을 검사 하는데 있어 매우 탁월한 정보를 제공합니다.